Tout traumatisme de la main et du poignet, même le plus bénin en apparence, très souvent consécutif à une chute sur le talon de la main, est susceptible à court, moyen et long terme, de laisser des séquelles douloureuses et enraidissantes capables de retentir considérablement non seulement dans la vie professionnelle ou sportive (vélo, sports de raquettes, de ballons, de combat, etc.) mais aussi dans la vie de tous les jours. Cela doit inciter le traumatisé à consulter au plus vite avec l'accord de son médecin traitant (sans passer par un service d'urgence généraliste), un service d'orthopédie spécialisé SOS Main tellement la prise en charge de ces traumatismes ou micro-traumatismes est singulière et nécessite des compétences et un savoir faire très spécifique. S'il y a une lésion à ne pas négliger jusqu'à preuve radiologique du contraire, c'est la fracture de l'os scaphoïde du poignet et trois autres lésions, également d'apparence bénigne, mais toutes aussi lourdes de conséquences: les entorses scapho-lunaires et à un degré moindre pyramido-lunaires, par rupture de l'un ou l'autre des deux ligaments intrinsèques de la 1ère rangée du carpe, mais aussi la désinsertion du ligament triangulaire du poignet sur son versant ulnaire (interne).
Le poignet
Il est délimité en haut par l'extrémité inférieure de l'avant bras et en bas par la base des 5 métacarpiens et on lui distingue 2 articulations: la radio et la médio carpienne. Sur le poignet s'insère de nombreux tendons, tandis que d'autres ne font que le traverser pour aller sur la main.
La main
Elle se compose:
1- de 4 types d'articulation: les métacarpo phalangiennes (AMP), les inter-phalangiennes proximales (IPP) et distales (IPD) et la trapézo métacarpienne pour le pouce. Ces différentes articulations sont stabilisées latéralement par des ligaments collatéraux et sur l'avant par la plaque palmaire au niveau de la base des deux premières phalanges.
2- d'une musculature intrinsèque:- lombricaux- interosseux
- muscles thénariens pour la mobilité du pouce
- muscles hypo-thénariens pour la mobilité du 5ème doigt.
3- d'une musculature extrinsèque pour la flexion et l'extension des doigts et des tendons extrinsèques coulissant dans des gaines fibreuses .
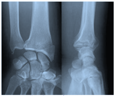
1/ Fractures du scaphoïdeLe Scaphoïde, os très mal vascularisé, est cravaté par des ligaments allant du radius au grand os et qui accrochent la fracture entravant sa consolidation.
La fracture du Scaphoïde doit être évoquée de principe chez un sportif ( sports de combat, sports collectifs, déséquilibre et chute de vélo et de moto) devant tout traumatisme du poignet avec chute sur le talon de la main, poignet en extension entraînant un poignet gonflé sur son versant latéral et douloureux et sans attendre la confirmation radiologique qui peut être retardée parfois jusqu'au 30 ème jour (ne pas hésiter à demander un Scanner ou une échographie).
Après glaçage et immobilisation dans un pansement compressif il faut orienter le blessé vers un service SOS Main surtout si 3 signes très évocateurs de fracture sont présents:
1- la douleur provoquée à la pression de la tabatière anatomique.
2- le télescopage douloureux de la colonne du pouce.
3- la palpation douloureuse du tubercule antérieur du S. sur la face palmaire du poignet.
Les 4 incidences radiographiques de Schneck qui déroulent le scaphoïde vont préciser le siège de la fracture: col, pôle supérieur ou inférieur; le trait de fracture horizontal, oblique ou vertical et l'importance du déplacement. Attention sur la radio de face, on ne voit pas la fracture.
Si la lésion est stable elle sera traitée orthopédiquement par immobilisation plâtrée d'au moins 3 mois qui prendra le coude les 1ers 45 jours.
Les fractures instables, bénéficieront d'un vissage chirurgical en compression par une vis d'Herbert.
La pseudarthrose du scaphoïde de traitement décevant est la complication à redouter en cas de retard diagnostique ou de prise en charge inadaptée en milieu non spécialisé.
Il y a aussi possibilité de lésions ligamentaires associées (scapho ou pyramido-lunaires) à une fracture du scaphoïde avec déstabilisation du carpe potentielle.
Pseudarthrose du scaphoïde
Vissage en compression du scaphoïde par une vis d'Herbert
N.B.: ce qui se rapproche le plus cliniquement d'une fracture du scaphoïde, c'est une fracture articulaire non déplacée de l'apophyse styloïde du radius (fracture cunéenne externe) de traitement orthopédique. Anatomiquement les deux lésions sont très proches et les trois signes d'examen d'une fracture du scaphoïde: douleurs exquises au fond de la tabatière anatomique, à la pression du tubercule antérieur et au télescopage de la colonne du pouce sont présents dans une fracture cunéenne externe du poignet. Mais si l'on décale un tant soit peu le point de pression vers le haut, on déclanche également une douleur exquise sur l'apophyse styloïde et c'est finalement l'imagerie (radios et scanner si le trait de fracture est peu net) qui va préciser la lésion et dicter la conduite à tenir.Fractures cunéennes externes: le trait de fracture détache la styloïde radiale dont le déplacement est souvent peu important. 2/ Les entorses intrinsèques (scapho-lunaire, pyramido-lunaire, du ligament triangulaire) du poignet
Les entorses intrinsèques du poignet constituent un diagnostic d'élimination (avant tout penser à une fracture du SCAPHOÏDE+++ qui est parfois associée à une entorse intrinsèque). Le mécanisme lésionnel est celui d'une chute sur la paume de la main avec poignet en hyper extension. L'imagerie (radiographies et arthrographie) est indispensable au diagnostic.
La plus fréquente et la plus grave, parce que rapidement arthrogène, des entorses intrinsèques du poignet est l'entorse Scapho - Lunaire: le poignet est tuméfié, la douleur est dorsale et latérale avec sensation d'instabilité et de ressaut lorsqu'on le mobilise: signe du "ballottement" et test de Watson (ce test est effectué en exerçant une pression sur la face palmaire du pôle distal du scaphoïde et en mettant la main en inclinaison radiale. Normalement le scaphoïde fléchit en inclinaison radiale. En faisant se test on bloque ce mouvement et on reproduit un ressaut douloureux car la flexion du scaphoïde se produit de façon brutale à la fin de la manoeuvre). Les radiographies de face mettent en évidence un écart scapho lunaire supérieur à 3 mm avec horizontalisation du scaphoïde; de profil le Semi Lunaire est basculé en arrière en DISI. L'arthrographie visualise la lésion ligamentaire.
L'autre forme clinique est l'entorse Luno - Pyramidale avec bascule vers l'avant en VISI du Semi- Lunaire sur les radiographies du poignet de profil. Conduite à tenir
Devant un poignet tuméfié, douloureux et instable, le mieux est d'orienter le blessé vers un service SOS Main hospitalier ou privé qui prendra en charge de la manière la plus adéquate ce poignet douloureux aiguë avec au préalable la mise en évidence de la lésion par un arthro-scanner qui est l'examen le plus performant ou mieux par une arthroscopie exploratrice++.
Le traitement en aiguë est affaire de chirurgien hyperspécialisé++ et consistera soit en la pose d'une immobilisation plâtrée de 6 semaines, soit à suturer chirurgicalement la lésion en fonction des données personnelles du patient sédentaire, sujet actif, travailleur manuel, sportif de haut niveau.
Attention, il faut savoir qu'en cas de retard diagnostique, le traitement tardif d'une instabilité chronique du poignet est décevant+++; aussi le plus rapidement possible après 1 traumatisme du poignet , il ne faut pas hésiter à consulter 1 chirurgien spécialisé et faire une arthroscopie exploratrice+++ qui visualisera une ou plusieurs lésions ligamentaires intrinsèques du poignet et sera suivie d'une réparation ligamentaire +++ qui alors aura les plus grandes chances de réussite.En conclusion: Pour Didier Fontès, seule une prise en charge précoce et adaptée de ces lésions permet d’envisager une restitution optimale du poignet traumatisé. Un examen clinique spécialisé, un bilan radiographique poussé (le plus souvent un arthroscanner) et un traitement souvent chirurgical le plus précoce sont les meilleures garanties d’un résultat fonctionnel satisfaisant. Le traitement est d’autant plus lourd que le stade lésionnel sera plus avancé : un brochage sous arthroscopie pourra être indiqué dans les formes vues tôt mais des gestes de scaphoïdectomie et d’arthrodèse partielle pourront s’avérer nécessaires, sources de séquelles qui, la plupart du temps, auraient pu être évitées par un diagnostic précoce et un traitement adapté.Entorse du ligament triangulaire
Le mécanisme lésionnel d'une désinsertion traumatique isolée du ligament triangulaire du poignet est le plus souvent une chute vers l’arrière sur le talon de la main positionnée en pronation et inclinaison cubitale. Sa traduction clinique correspond à un poignet discrètement tuméfié et douloureux sur son versant cubital et parfois instable accompagné de claquement. Même si le traumatisme est en apparence peu important, il faut se dépêcher de l’adresser à un chirurgien spécialisé SOS Main, tellement son diagnostic qui relève spécifiquement d’une exploration par arthroscopie et sa prise en charge thérapeutique demande des connaissances approfondies que seul un chirurgien orthopédique spécialisé est capable de maîtriser parfaitement.
Le diagnostic
Comme indiqué en préambule, le diagnostic d’une atteinte isolée du ligament triangulaire est une affaire de chirurgiens hyperspécialisés tellement la structure du TFCC est complexe et les possibilités thérapeutiques différentes suivant que la zone lésée est bien ou mal vascularisée, c'est-à-dire avec ou sans possibilité de cicatrisation.
En aigu le blessé se présente avec un poignet légèrement tuméfié sur son versant interne ulnaire secondairement à une chute en arrière sur le talon de la main positionnée en pronation et inclinaison cubitale+++. La mobilisation douce en fin de pronation et de supination passive , coude bloqué à 90°est sensible, de même que l’inclinaison cubitale main en hyper- pronation. La palpation antérieure du versant cubital s’accompagne d’une douleur exquise qui doit alerter l’examinateur.
La positivité de ces 3 signes doit sans attendre faire orienter le blessé vers une structure spécialisée en prenant bien soin au préalable de glacer ce poignet traumatique et de l’immobiliser dans une attèle en position neutre de fonction.
C’est toutefois l’arthroscopie entre des mains bien entraînées qui reste l’examen exploratoire le plus performant avec une sensibilité et une spécificité maximale de 100% ; elle seule permet d’apprécier l’élasticité du disque articulaire et les désinsertions fovéales qui sont généralement sous estimées par les explorations radiologiques.
La thérapeutique sera:
- ou médicale si la perforation est d’origine dégénérative ou devant un simple dérangement interne: immobilisation temporaire par attelle thermo-formée, médications anti-inflammatoires, physiothérapie.
- ou chirurgicale de réparation ligamentaire ciblée par voie arthroscopique avec agrandissement optique qui autorise des gestes précis et la possibilité d’y associer un geste d’ostéotomie de raccourcissement de l’ulna si nécessaire avec comme toujours le consentement éclairé du blessé. Chirurgie suivie de cryothérapie en post opératoire immédiat et de mobilisation passive précoce.
NB: en cas d'évolution post opératoire qui n'est pas rapidement favorable (persistances de douleurs, de fourmillements, de claquements, faire à nouveau appel au chirurgien qui soit rassurera le patient soit procédera à un geste complémentaire++++. Sans tarder il ne faut pas hésiter devant un poignet douloureux post traumatique à faire une arthroscopie exploratrice+++ qui visualisera une ou plusieurs lésions ligamentaires intrinsèques du poignet et sera suivie d'une réparation ligamentaire qui alors aura les plus grandes chances de réussite+++.
3/ Les tendinopathies du poignetLes tendons sont nombreux au niveau du poignet; ils sont grêles pour la plupart et ils ont un trajet long et coudé; ils coulissent dans des tunnels ostéo- fibreux par l'intermédiaire de gaines synoviales. Tendinites et téno-synovites sont en augmentation constante et en rapport avec une hyper-sollicitation du poignet et de la main engendrée par la pratique sportive et des activités de loisir. Toutefois un certain nombre d'entre elles se rencontrent couramment et sont non caractéristiques de l'activité sportive. D'autres sont réellement liées au geste sportif. Ces tendinopathies du poignet touchent soit le tendon, soit sa gaine synoviale et les bourses séreuses. L'origine est parfois métabolique, mais le plus souvent elle est micro-traumatique par surmenage du poignet sur des formations nous l'avons dit fragiles, avec des facteurs favorisant comme l'âge (autour de 40 ans) et le dys-entraînement quantitatif et qualitatif. Ces lésions touchant de préférence le sportif amateur. Les signes cliniques se résument à une douleur localisée le plus souvent sur un des compartiments du dos de la main (tendons extenseurs ++) déclanchée par le mouvement, plus rarement sur les tendons antérieurs.
L'examen retrouve un empâtement localisé et la triade symptomatique de toute tendinopathie: douleur à la contraction résistée isométrique, à l'étirement et à la palpation.L'impotence fonctionnelle est variable (chez le sportif il y a souvent baisse de force de la prise). Le diagnostic positif est constitué par le test anesthésique qui fait disparaître la douleur; ensuite il faut éliminer les causes associées.
Ce sont des affections bénignes et la guérison peut être spontanée si arrêt du geste sportif délétère. Il faut parfois pratiquer une ou plusieurs infiltrations et corriger le défaut technique. Dans certains cas le MTP ( massage transverse profond) est la clef du problème.
Le diagnostic différentiel avec l'aide des examens complémentaires (radiographies, échographie, IRM ou arthro-scanner) c'est toute la pathologie de la main:
- enthésopathie à hydroxy - apatite de calcium du cubital antérieur
- ténosynovite infectieuse à staphylocoque voire à bacille de Koch
- séquelles de traumatismes anciens et méconnus sur le ligament triangulaire et le tendon cubital postérieur à l'origine de conflit local
- syndromes canalaires et EMG sur fractures parcellaires d'1 os du carpe
- kystes synoviaux occultes du poignet
- instabilité scapho ou pyramido-lunaire débutante
- fractures de l'apophyse unciforme de l'os crochu et tendinopathie du fléchisseur du 5ème doigt et du court fléchisseur .
a/ Ténosynovite de DE QUERVAIN du 1er compartiment du poignet.
C'est une pathologie qui touche les sportifs de raquette et ceux pratiquant l'aviron, le ski, l'escrime, le tennis, la gymnastique,l'haltérophilie, le kayak.
Il s'agit d'une affection sténosante touchant les tendons du 1er compartiment du poignet le long abducteur et le court extenseur du pouce, en regard de la tabatière anatomique par surmenage local en inclinaisons répétés du poignet.
Clinique: tuméfaction du bord externe de la tabatière anatomique; signe de Finkelstein (pouce replié sous les doigts+inclinaison cubitale); extension contrariée du pouce avec douleur proximale.Imagerie: Radios et Echographie++ montrent un tendon et une gaine épaissis.Traitement: infiltration locale d'un corticoïde.
La T. de De Quervain est souvent associée à la névrite de WARTEMBERG qui est une neuropathie de la branche sensitive du nerf Radial qui émerge à 9,5 cm de la styloïde radiale sur le bord externe de l'avant bras avec signe de Tinel à ce niveau, dysesthésies du bord externe qui peuvent être masqué par les douleurs de la tendinopathie et troubles sensitifs à l'effleurement de la face dorsale du pouce et de la 1ère commissure.
Traitement de la névrite de Wartemberg:
Attelle de repos qui doit éviter toute compression nerveuse+ infiltration.
En cas d'échec: neurolyse de la compression nerveuse (grande fréquence des variations anatomiques de cette région que connaissent les chirurgiens spécialisés SOS Main).
Névrite de Wartemberg
b/ Les autres Tendinopathies dorsales du poignet
- la tendinopathie des Radiaux du 2 ème compartiment: la douleur est plus distale sur la colonne du pouce à 3 travers de doigt de la styloïde: c'est le syndrome du croisement ou aïe crépitant.
- la tendinopathie du 3ème compartiment du long extenseur du pouce.
- la tendinopathie du 4ème compartiment de l'extenseur propre du II.
- la tendinopathie du 5ème compartiment de l'extenseur propre du V sont plus anecdotiques avec souvent anomalies musculaires sur le 4 ème et le 5 ème compartiment.
- la tendinopathie du 6ème compartiment du cubital postérieur (c'est un muscle épicondylien) par enthésite d'insertion sur la styloide du 5ème Métacarpien. Quelque fois il peut s'agir chez le tennisman d'une rupture de la cloison interne du 6ème compartiment après mouvement brusque du poignet, douleur sur la styloïde cubitale et parfois claquement pas toujours évident de la luxation du tendon libéré .
4/ Fractures de la base du 1er métacarpienLes fractures de la base du 1er métacarpe surviennent toutes sur le même mode lésionnel: un mécanisme d' hyper abduction et hyper extension de la colonne du pouce.
Comme dans la plupart des traumatismes de la main et du poignet, elles doivent être prises en charge dans un service spécialisé type SOS Main sous peine de complication fonctionnelle au niveau de la 1ère commissure à type de fixation en fermeture compte tenu du positionnement en adduction du fragment distal avec retentissement sur la pince pouce index et les prises fines. Possibilité aussi de complications tardives dégénératives à type de rhizarthrose post traumatique.
Cliniquement elles se présentent sous forme d'un gonflement douloureux de la colonne du pouce souvent positionnée en adduction. Suivant la localisation du trait de fracture (radiographies de face et de profil ), on distingue:
- des fractures extra articulaires dont les formes stables seront traitées orthopédiquement après réduction par immobilisation plâtrée en position de fonction avec ouverture de la 1ère commissure.- des fractures intra - articulaires1- de ROLANDO |
Fracture de ROLANDO
|
2- de BENNET qui emporte le bord médial de la tête métacarpienne. Ce sont en réalité des fractures - subluxations (la luxation étant liée à la traction exercée par les muscles long abducteur du pouce et thénariens).
Les fractures de Bennet et de Rolando sont traitées chirurgicalement après réduction, soit à foyer fermé par broches , soit à foyer ouvert avec immobilisation de 45 jours post opératoire.
Fracture de BENNET
5/ Fractures des métacarpiens des doigts longs
Dans ce type de fracture, le mécanisme lésionnel est celui d'un choc direct et le sport le plus exposé reste la boxe sur les métacarpiens mobiles (4ème et 5 ème métacarpe).
Sur le plan biomécanique, les mobilités diffèrent: les 2ème et 3ème métacarpe sont fixes, le 4ème est semi mobile et le 5ème métacarpien est mobile et lors de la fermeture de la main, les pulpes des différents doigts convergent vers le le tubercule du scaphoide. Cette particularité biomécanique doit être respectée au moment de prendre la décision thérapeutique qui ne devrait se faire qu'en milieu spécialisé (SOS Main).L'aspect clinique est très évocateur devant une tuméfaction du dos du carpe après impaction et point exquis à la palpation et mobilisation et compression douloureuse.
Le diagnostic de certitude est donnée par les radiographies qui vont préciser le siège (base, diaphyse, col, tête) et le déplacement.
Le traitement est affaire de spécialiste et sera soit orthopédique, soit chirurgical, en fonction du siège de la fracture et du déplacement en sachant qu'une immobilisation qui excéderait 4 semaines serait néfaste à une bonne récupération fonctionnelle, même si le cal osseux radiographique est toujours en retard.
6/ Entorses du ligament collatéral interne (LLI) de l'articulation métacarpe-phalangienne du pouceL'entorse grave du LLI de l'AMP par mécanisme lésionnel en abduction forcée du pouce, en plus d'être une des plus fréquentes lésions traumatiques de la colonne du pouce (rugby, hand, volley, ski) présente la particularité lorsque le ligament principal est rompu de ne pas pouvoir cicatriser du fait de la proximité de la lame aponévrotique de l'Adducteur du pouce qui recouvre le LLI et s'interpose, l'empêchant de cicatriser (lésion de Stener).
Mécanisme lésionnel en abduction forcée du pouce
Lésion de Stener (interposition de l'adducteur du pouce)
Le diagnostic de gravité clinique (le testing des laxités est à proscrire car il risque d'aggraver un éventuel arrachement osseux) consiste à faire saisir et à soulever par le blessé un objet de gros volume, comme une bouteille, ce qu'il est incapable de faire, l'AMP n'étant pas stable et la 1ère commissure ne pouvant pas bien s'ouvrir. Les autre signes sont la perception par le blessé d'un craquement suivi de l'impression de déboîtement de l'AMP.
Le bilan radiographique recherchera un éventuel arrachement osseux.
Traitement: le recours à un service SOS Main est indispensable.
Une lésion bénigne sera immobilisée 15 jours + 15 jours supplémentaires pour la rééducation. Une entorse grave non déplacée sera immobilisée entre 30 et 45 jours + 15 jours de rééducation. Une entorse grave avec déplacement sera opérée + plâtre post opératoire de 30 jours + rééducation de 15 jours. En cas de prise en charge inadaptée, la colonne du pouce ne sera pas fonctionnelle.
7/ Entorses des doigts longs (IPP et IPD)Les entorses des doigts longs sont des lésions des ligaments collatéraux des IPP (inter-phalangienne proximale) et IPD (inter-phalangienne distale) qui assurent la stabilité latérale et sont composés d' un ligament principal tendu en flexion et d' un ligament accessoire tendu en extension .
Il y a également un fibro cartilage antérieur la plaque palmaire qui assure la stabilité de l'IPP. C'est un ligament palmaire puissant s'insérant sur la base de P2 et se dirigeant en arrière pour se terminer en 2 cornes sur les faces latéro-palmaires de P1.
Le diagnostic clinique est facile : gonflement le plus souvent de l'IPP. Les radiographies de face et de profil, voire les clichés dynamiques, préciseront l'éventuelle existence d'un fragment osseux ou d'une laxité radiologique qui signera l'entorse grave. Ces entorses sont des traumatismes bénins et donc le plus souvent négligés par les blessés qui ne respectent pas les consignes médicales; aussi les séquelles de ces entorses à type de gonflement douloureux et de raideur sont monnaie courante et la gène fonctionnelle durable d'autant plus importante que l'entorse porte sur l'IPP.
Le traitement de ces entorses en particulier celui des entorses graves est assez délicat si bien que leur prise en charge relève de structures spécialisées. En effet la cicatrisation ligamentaire dure 3 semaines, mais si l'on immobilise 3 semaines , c'est la raideur articulaire assurée. La tendance actuelle est d'appareiller le doigt pendant 2 à 5 jours puis de pratiquer une syndactylie avec capitonnage interdigital par de la mousse avec kinésithérapie active de 15 jours de manière à rendre le doigt indolore et mobile avec reprise sportive après 3 semaines. Attention à ne pas confondre ces entorses avec le doigt en boutonnière par rupture de la bandelette médiane de l'appareil extenseur des doigts.
Entorses de la Plaque palmaireLorsque le doigt se retourne à l'envers (mécanisme lésionnel en hyper extension ), c'est la plaque palmaire qui est lésée et de prise en charge plus délicate. Ces entorses de la plaque palmaire peuvent aboutir à une déformation en col de cygne.
Clinique: hématome, oedème, douleur, impotence fonctionnelle majeure.
Radios: arrachement osseux palmaire.
8/ Doigt à ressaut
Le doigt à ressaut correspond à une tendinopathie nodulaire palpable du tendon fléchisseur en regard de la poulie métacarpo-phalangienne. On le rencontre dans les sports à forte prise ( tennis, golf, varape).
Le nodule accroche lors du passage de la flexion vers l'extension d'un doigt et curable par infiltration élective du nodule avec 1 cc d'hydro cortancyl que l'on peut répéter. En cas d'échec du traitement médical, le traitement chirurgical excisera la poulie avec mobilisation douce dès le lendemain de l'opération.
Le doigt à ressaut = nodule palpable du tendon fléchisseur en regard de la poulie métacarpo-phalangienne.
9/ Rugby finger ou Jersey finger du 4ème doigt
Lésion souvent diagnostiquée avec retard, le rugby finger correspond à 1 rupture de la bandelette médiane sur P2.
C'est une lésion que l'on rencontre beaucoup dans la pratique du rugby lors de l' agrippage du maillot sur un joueur qui prend à contre pied son adversaire; ce dernier tentant alors de l'accrocher violemment par son maillot. Cela rompt l'insertion du tendon fléchisseur profond (FCP) qui va se rétracter sur la 3ème phalange (P3) du 4ème doigt.
Ce 4ème doigt a une faible indépendance de flexion qui ne permet pas de lâcher prise immédiatement lorsque le 3ème et 5ème doigts sont fléchis, le 5ème lâchant en 1er.
En outre, l'insertion sur P3 du Fléchisseur commun profond est fragile au niveau du 4ème doigt à cause des Lombricaux du 4ème doigt s'unissant à ceux du 3ème et du 5ème.
La clinique est évocatrice: gonflement hyperalgique palmaire de P3 du 4ème doigt correspondant au moignon + ou - bas située suivant que la lésion emporte ou non un fragment osseux avec ecchymose retardée et impossibilité de fléchir activement P3 positionné en extension pour bloquer l'action du tendon fléchisseur superficiel (FCS), alors que la flexion active de P2 est possible ( FCS intact ). Les radiographies de profil doivent rechercher un arrachement osseux distal.
Le traitement doit se faire dans les meilleurs délais ; il est complexe et relève d'un service spécialisé et sera le plus souvent chirurgical avec refixation sur P3 du tendon rompu avec rééducation à la clef.
Rupture distale du tendon du muscle Fléchisseur commun profond du 4ème doigt
10/ Lésions de l'appareil extenseur des doigts a/ Mallet finger (doigt en maillet)Le doigt en maillet correspond à la rupture de la portion terminale de l'appareil extenseur des doigts, ici en l'occurrence le tendon de l'Extenseur commun qui s'insère sur la partie dorsale de la 3ème phalange (P3).
Rupture de la terminaison de l'extenseur commun
Le mécanisme lésionnel est une contusion directe distale en flexion forcée par exemple dans les sports de ballon ( handball, volley ball) , surtout sur les 4ème et 5ème doigts; le pouce étant très rarement atteint.
Le diagnostic peut tarder si la prise en charge médicale n'est pas immédiate et l'on se retrouve alors devant un déficit d'extension de P3 du doigt lésé avec flexum distal irréductible.
Flexum distal irréductible
Comme toujours, les radiographies de profil cherchent à mettre en évidence un fragment osseux dorsal et permettent de différencier 3 types de lésion de gravité croissante en fonction de l'angle de déficit d'extension :
1- angle inférieur à 30° si rupture incomplète; supérieur à 30° en cas de rupture totale et sans lésion osseuse
2- lésion osseuse distale peu déplacée qui sera réductible ou non en extension
3- lésion osseuse déplacée avec sub-luxation de P3 correspondant à une fracture articulaire.
Le traitement doit être fait en milieu spécialisé et sera ou orthopédique pour 6 semaines par attelle ou chirurgical + attelle.
b/ Déformation en col de cygne: La lésion en col de cygne correspond à une inefficacité des bandelettes latérales qui s'insèrent sur le dos de P3 et sont rejointes par les muscles lombricaux qui passent en arrière de l'axe de la phalange.
Le col de cygne fait suite très souvent à un Mallet finger qui se pérennise.
La déformation majore le Mallet et se traduit par un flexum de la phalange distale P3 et par une hyperextension de la 2ème phalange P2.
La prise en charge relève d'un milieu spécialisé.
Flexum de P3 + hyperextension de P2
c/ Déformation en boutonnière La lésion en boutonnière correspond à une rupture de la bandelette médiane qui s'insère sur la base de P2 par mécanisme lésionnel en hyper-flexion brutale de la 2ème phalange P2 que l'on rencontre dans les sports de varape chez les grimpeurs positionnant leurs doigts en arqué. La déformation se traduit par un flexum de l'inter phalangienne proximale (IPP) et par une hyper extension de l'inter-phalangienne distale (IPD) et de la métacarpo -phalangienne (AMP). La prise en charge difficile à traiter relève d'un milieu spécialisé.
Rupture de la bandelette médiane de P2