Avis à lire par tous les lecteurs:

Les premiers articles du blog "Un médecin du sport vous informe" datent de 2013, mais la plupart sont mis à jour pour pouvoir coller aux progrè médicaux. Ce blog inter-actif répond à la demande de nombreux confrères, kinésithérapeutes, étudiants en médecine et en STAPS, patients et sportifs. Il est le reflet de connaissances acquises tout le long de ma vie professionnelle, auprès d'enseignants remarquables, connaissances sans cesse actualisées que je me suis efforcé de rendre accessibles au plus grand nombre par le biais d’images trouvées sur le Net, images qui sont devenues par la force des choses, la propriété intellectuelle de tous; si cela dérange, ces images seront retirées.

Certains articles peuvent apparaître un peu plus polémiques que d'autres et indisposer, mais il n'est pas question pour l'auteur de tergiverser ou de se taire, quand il s'agit de problèmes d'éthique, en particulier en matière de dopage et quand la santé des sportifs est en jeu, compte tenu du nombre élevé de blessures liées au surentraînement et à une pratique imbécile d'une certaine musculation, qui n'est plus au service de la vitesse et de la force explosive utile (et non de la force maximale brute), qui sont les deux qualités physiques reines, qui ne respecte pas les règles de la physiologie musculaire et qui, au lieu d'optimiser la performance, fait ressembler certains sportifs body-buildés à l'extrême, davantage à des bêtes de foire gavées aux anabolisants, qu’à des athlètes de haut niveau.

Ce blog majoritairement consacré à la traumatologie sportive, est dédié à mes maîtres les Prs Jacques Rodineau, Gérard Saillant et à tous les enseignants du DU de traumatologie du sport de Paris VI Pitié Salpétrière et en particulier aux docteurs Jean Baptiste Courroy, Mireille Peyre et Sylvie Besch. L'évaluation clinique y tient une grande place: "la clinique, rien que la clinique, mais toute la clinique" et s'il y a une chose à retenir de leur enseignement, c'est que dans l'établissement d'un diagnostic, l'examen clinique, qui vient à la suite d'un bon interrogatoire, reste l'élément incontournable de la démarche médicale. Toutefois dans le sport de haut niveau et guidé par la clinique, l'imagerie moderne est incontournable : radiographie conventionnelle, système EOS en trois dimensions pour les troubles de la statique rachidienne, échographie avec un appareillage moderne et des confrères bien formés, scanner incontournable dans tous les problèmes osseux et enfin IRM 3 Tesla, le Tesla étant l'unité de mesure qui définit le champ magnétique d'un aimant; plus le chiffre de Tesla est élevé et plus le champ magnétique est puissant ("à haut champ") et plus les détails des images sont fins et la qualité optimale.

Hommage aussi au Pr Robert Maigne et à son école de médecine manuelle de l'Hôtel Dieu de Paris ou j'ai fais mes classes et actuellement dirigée par son fils, le Dr Jean Yves Maigne. Je n'oublie pas non plus le GETM (groupe d'étude des thérapeutiques manuelles) fondé par le Dr Eric de Winter et ses enseignants, tous des passionnés; j'y ai peaufiné mes techniques et enseigné la médecine manuelle-ostéopathie pendant 10 années.

Dr Louis Pallure, médecin des hôpitaux, spécialiste en Médecine Physique et Réadaptation, médecin de médecine et traumatologie du sport et de médecine manuelle-ostéopathie, Pr de sport et musculation DE, ex médecin FFRugby et USAP Perpignan, Athlé 66, comité départemental 66, ligue Occitanie et Fédération Française d’Athlétisme, médecin Etoile Oignies Athlétisme.

A l'attention des lecteurs de ce blog : certains d'entre vous m'interrogent pour des problèmes de santé en rapport avec les différents articles. Pour une raison que j'ignore les questions posées ne me parviennent pas comme auparavant, et je ne peux donc pas y répondre. Merci de me faire parvenir vos éventuelles questions sur ma boîte Mail : p6654@msn.com Dr LP

lundi 17 décembre 2012

L'épaule du sportif
L'épaule au sens large du terme est une région très exposée dans la vie courante et dans la pratique sportive et particulièrement après chute sur le moignon de l'épaule et dans tous les sports de contact. Quant à l'articulation dominante de l'épaule, la gléno-humérale, c'est une articulation très peu emboîtée et taillée pour l'instabilité.
Elle est la région anatomique la plus exposée dans le rugby: on percute avec l'épaule, on plaque avec l'épaule (et non pas tête en avant) et un grand nombre de joueurs de rugby ont dans leur carrière  présenté: 
- soit une lésion macro-traumatique sérieuse de cette dernière: que ce soit fracture de la clavicule, luxation gléno-humérale ou lésion acromio-claviculaire.
- soit une pathologie micro-traumatique de surcharge à type d'arthropathie acromio-claviculaire  favorisée par la pratique de la musculation ou de tendinopathie de la coiffe des rotateurs.
Faire le bilan clinique d'une épaule, c'est obligatoirement rechercher une lésion et d'abord tenir compte du contexte, traumatique ou non.
C'est donc envisager 2 grandes étiologies:
1-l'épaule traumatique en différenciant celle vue en urgence ou le diagnostic lésionnel doit être rapidement appréhendé, de l'urgence différée qui laisse le temps à un bon examen physique et à une approche lésionnelle plus précise.
2-l'épaule douloureuse ou micro-traumatique ou anamnèse et examen clinique complet permettront de cibler les examens complémentaires en particulier l'imagerie de 1er ou de 2ème recours en les réduisant au strict nécessaire pour la mise en évidence de la lésion responsable des 4  grandes entités pathologiques :
- l'épaule conflictuelle avec ou sans tendinopathie.
- l'épaule douloureuse et instable (EDI)
-  l'épaule neurologique
- l'arthropathie acromio-claviculaire.
Tout cela suppose un préalable indispensable : une bonne connaissance de l'anatomie fonctionnelle du complexe de l’épaule.
Anatomie fonctionnelle de l'épaule
L’épaule est l’articulation la plus mobile de l'organisme; elle sert à orienter la main dans l'espace.
C'est un complexe articulaire, formé de 5 articulations qui se répartissent en 2 groupes :
1- le groupe scapulo-huméral(SH) comprend l’articulation Gléno-Humérale et l’articulation Sous-Deltoidiènne, cette dernière, articulaire au sens physiologique, est plutôt un espace de glissement, mécaniquement liée à la précédente mais fonctionnellement très importante.



2- le groupe scapulo-thoracique (ST) comprend l'articulation Acromio-Claviculaire, l’articulation Sterno-Costo-Claviculaire et l’articulation Omo-Thoracique, cette dernière, la plus importante de la S.T. est également un espace de glissement mécaniquement liée aux 2 autres et fonctionnellement majeure car permettant le mouvement de bascule ou de sonnette de 60°de l'omoplate, lors des mouvements d'élévation du bras.





En pratique les 2 groupes SH et ST sont mécaniquement liées, les 5 articulations fonctionnant simultanément mais suivant des proportions variables.
Il sera intéressant en clinique de les explorer séparément en bloquant la S.T. par immobilisation du pôle inférieur de l'omoplate.
Mécanisme lésionnel
Mais que ce soit sur épaule "traumatique " par traumatisme unique et violent ou sur épaule "douloureuse" par répétition d'une gestuelle qui à la longue va entraîner une lésion, l'analyse du mécanisme lésionnel lors de l'interrogatoire reste un temps essentiel du bilan clinique qui permet de comprendre pourquoi c'est telle structure qui est lésée et non pas telle autre et va orienter l'examen physique et l'imagerie complémentaire.
A/L'ÉPAULE TRAUMATIQUE
Dans une épaule traumatique il convient de distinguer celle qui nécessite une prise en charge urgente de celle qui laisse le temps au clinicien de bien examiner le blessé.
1/L'épaule "VUE EN URGENCE" mérite un brin de développement bien que le diagnostic en soit facile par la seule inspection.
Le contexte est celui d'un traumatisme unique et violent par contusion directe ou indirecte du moignon de l'épaule avec:
- impotence fonctionnelle majeure.
- impression de malaise général.
- blessé se présentant le plus souvent déjà conditionné par les premiers secours et immobilisé le plus souvent dans une écharpe simple.
La conduite à tenir avant tout déshabillage est de calmer la douleur et surtout de procéder à un bilan radiographique Face+Profil de l'épaule + rachis cervical.
Le premier bilan clinique en attendant les résultats du bilan radio est essentiellement neurovasculaire et comparatif :
- palpation des pouls huméraux et radiaux, coloration et chaleur des téguments.
- sensibilité du moignon de l'épaule pour le  nerf circonflexe.
- sensibilité de la face antero-externe de l'avant bras et flexion du coude pour le nerf musculo-cutané.
- sensibilité du majeur, flexion du poignet et des doigts pour le  nerf médian.
- sensibilité thénar, abduction du pouce et extension du poignet pour le  nerf radial.
-sensibilité hypothénar et écart des doigts contre résistance pour le  nerf cubital.
L'inspection permet à elle seule d'évoquer le diagnostic :
- déformation caractéristique du moignon de l'épaule dans la première Luxation gléno-humérale antérieure avec signe de l'épaulette par saillie de I'acromion, coup de hache externe, abduction irréductible.
           
- grosse épaule tuméfiée (l'ecchymose est plus tardive) de la Fracture de l'extrémité supérieure de I'Humérus (ESH)


ou tuméfaction plus modérée d'une fracture parcellaire du trochiter  développée ultérieurement ou du trochin.



- tuméfaction douloureuse de l'Acromio-Claviculaire (AC) aggravée par l'adduction du bras avec touche de piano et diastasis antéro postérieur dans la Luxation A.C (stade 3 et 4).


     entorse a/c                luxation a/c 

L'épaule "VUE EN URGENCE DIFFÉRÉE" concerne tout le reste des "contusions" de l'épaule. Le diagnostic lésionnel est moins aisé à faire et parfois même difficile .
C'est dans ce cadre, qu'une analyse attentive du mécanisme lésionnel à l'interrogatoire suivi de l' examen programmé de l'épaule, prendront toute leur valeur et vont limiter l'imagerie complémentaire au strict nécessaire. Plusieurs lésions méritent qu'on s'y attarde:
1- la luxation traumatique postérieure de l'épaule :
- d'abord parce qu'elle est rare et qu'elle se voit d'habitude dans le cadre de luxations "volontaires" ou sur crise d'épilepsie en adduction/rotation interne du bras.
- ensuite parce que c'est un piège diagnostique surtout si à l'interrogatoire le médecin ne s'attarde pas sur le mécanisme lésionnel parce qu'il n'y a pas d' impotence mais plutôt une gêne fonctionnelle modérée avec possibilité d'élévation antérieure du bras et un peu d'élévation latérale.
Et pourtant le mécanisme lésionnel est inverse de celui de la luxation antérieure et se fait le plus souvent par chute sur le talon de la main, bras en anté-flexion de 45°. Le moignon est élargi de profil et surtout la rotation externe du bras qu'elle soit active ou passive est impossible, le bras étant positionné en rotation interne fixée. La confirmation viendra de la radio de Face qui ne montre pas l'interligne.


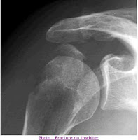
2-  fracture isolée du trochiter (fréquentes en ski)

Elles se présentent sous différents types anatomiques 
- les unes sont des fractures de tout le massif
- les autres des fractures partielles, operculaires.
et de 2 manières différentes: 
a/ de manière subaigue sous la forme d' une épaule impotente immédiate après chute directe sur le moignon de l'épaule, avec abduction contrariée; craquement; douleurs vives; impotence fonctionnelle totale; ecchymose retardée du bras à 48 heures et dissociation activo-passive des amplitudes d'épaule comme dans le tableau de rupture de coiffe, la seule différence résidant dans l'anamnèse avec la notion de chute sur le moignon de l'épaule. Le diagnostic est radiologique par les 3 radiographies de face qui déroulent le trochiter; mais ne pas hésiter à recourir au Scanner si besoin. Le traitement est fonction du déplacement
- non déplacé : bandage de type Dujarrier coude au corps 4 semaines
- déplacé mais réductible à 90°d'abduction: thoraco-brachial bras en abduction sur 6 semaines; non réductible : vissage chirurgical. 
b/ sous la forme d'une épaule douloureuse retardée. Le diagnostic sera radiographique parfois  complété par une échographie et le traitement non opératoire dans la majorité des cas mais avec des complications  possibles, notamment l'enraidissement de l'épaule.Elles se présentent de 2 manières différentes:
3- fracture du 1/4 externe de la clavicule
C'est souvent un piège diagnostique quand il n'y a pas de lésions associées de l'Acromio - Claviculaire ou de l'Acromion ou des ligaments coraco-claviculaires: la douleur est  scapulo- thoracique de type trapézalgie et l'examen clinique est pauvre en particulier il n'y a rien à l'examen de l'Acromio-claviculaire ; le seul signe positif est une douleur exquise sur le 1/4 externe de la clavicule.
Le plus souvent le traitement est orthopédique mais il peut y avoir complication  à type de raideur de l'épaule, cal vicieux voire pseudarthrose.
B/ L ' EPAULE MICROTRAUMATIQUE
L'épaule est une des régions anatomiques les plus touchées par les microtraumatismes répétés de la vie professionnelle ou sportive, les lésions intéressant le plus souvent
- les tendons de la coiffe des rotateurs
- les nerfs  grand dentelé de Charles Bell et sus scapulaire
- le bourrelet glénoïdien.
Biomécanique
L' épaule est une articulation très peu congruente, taillée pour la mobilité et donc exposée en dehors de tout épisode aigu de luxation, à l'instabilité potentielle quelle soit cliniquement franche (EDI) ou quelle soit fruste par modification du rythme scapulo- huméral;elle se présentera alors comme une épaule conflictuelle secondaire à des modifications des conditions de passage de la coiffe dans le défilé sous-acromial par insuffisance de centrage de la tête humérale.
En effet, dans le mouvement d'élévation du bras en rotation interne, il se produit une élévation de la scapula (rythme scapulo-huméral) avec rapprochement de la ligne médiane, puis changement d'orientation tel que le trochiter protégé par la bourse sous- acromiale s'échappe en glissant sous l'auvent ostéo-fibreux.
Le centrage de la tête humérale est alors essentiel sous peine de voir la grosse tubérosité, la bourse sous acromiale et la coiffe superficielle, frotter contre l'auvent ostéoligamentaire plutôt étroit dans sa partie antérieure.
La bonne harmonie du geste résulte donc de l'action combinée des différentes structures péri articulaires assurant la coaptation:
par un barrage antérieur :
- non pas tant la capsule avec ses solutions de continuité antérieures
- mais en partie par les ligaments de renforcement antérieurs: non pas le ligament coraco-huméral qui est suspenseur mais plutôt le faisceau inférieur du ligament gléno-huméral antérieur tendu dès que le bras est à 90°ou en rotation externe.
- essentiellement par le muscle Sous Scapulaire qui vient se plaquer contre la partie antérieure de l'articulation et s'oppose à la rotation externe
- également par le tendon du long biceps (TLB) en position intracapsulaire qui plaque la tête humérale contre la glène dans l'abduction et en cas de traction axiale coude tendu et à I'origine des SLAP lésions de son insertion terminale: le testing du long biceps (test de GILCRIST) est à faire aussi en abduction car le TLB est aussi abducteur.
Le TLB en l'absence de sésamoide subit également une grosse fatigue mécanique au niveau de la coulisse bicipitale, avec altération progressive de ses fibres et rupture possible ou tendinopathie le plus souvent exsudative ; il perd également beaucoup d'efficacité en rotation interne ou sa portion terminale ainsi que l'ensemble du ligament glénohuméral antérieur sont détendus; tandis qu'il a son efficacité maximale en position intermédiaire et en rotation externe du bras (c'est donc en RI qu'il y a le moins de freins et donc le plus d'amplitude et de frottement).
- plus à distance agissent : le muscle court biceps en s'appuyant sur la coracoide qui hisse la tête humérale vers le haut.
les autres muscles : long triceps,coraco-brachial et deltoide qui s'opposent à la luxation vers le bas de la tête humérale.



- interviennent aussi les autres rotateurs internes et aussi  les adducteurs d'épaule que sont les muscles Grand rond - Grand dorsal - Grand pectoral et il faudra veiller à leur souplesse.


 par un barrage postérieur essentiellement dévolu aux muscles de la coiffe et en particulier :
- au Sus épineux qui est abducteur et abaisse et recentre la tête humérale.
- au Soux épineux moteur de la rotation externe, mais aussi coaptateur postérieur; ils ajustent l'action du Deltoïde, moteur principal de l'abduction, quand celui ci est insuffisant ou au contraire très puissant et raccourci attirant vers le haut la tête humérale sous l'auvent acromio-coracoidien.
Ce centrage est impératif dans 3 positions de grande vulnérabilité :
- à l'armé du bras en rétropulsion horizontale - rotation externe ( RHRE) avec accélération par les muscles postérieurs et freins antérieurs.
- à la fin du geste en adduction horizontale - rotation interne : (AHRI)avec accélération par les muscles antérieurs et freins postérieurs.
- en traction axiale à grande vitesse ou avec charge coude tendu (javelot / haltérophilie) avec stabilisation par les tendons du Long Triceps et du Long Biceps.
Les 10 commandements de l'épaule douloureuse micro-traumatique. 
Se rappeler qu' en matière d'épaule micro-traumatique:
1 - Sans une connaissance précise de l'anatomie il ne peut y avoir de bonne clinique +++


 


2 - De même une connaissance de la physiologie de l'épaule est également indispensable en particulier dans les indications ou les techniques de médecine manuelle sont déterminantes.
Articulation la plus mobile avec ses 3 axes de travail et ses 3 degrés de liberté articulaire et potentiellement la plus instable de l'organisme, servant à orienter la main dans les 3 plans de l’espace dans un but de préhension et de grimper, l’épaule est un SAMA (système articulaire mécaniquement asservi) qui englobe la ceinture scapulaire, son espace de glissement omo-thoracique, l'articulation gléno-humérale et son espace de glissement sous-deltoïdien qui fonctionnent non pas successivement, mais concomitamment grâce à l’action combinée des 19 muscles de la ceinture scapulaire sur les 54 que comportent le membre supérieur agissant sous la forme de 25 couples de rotation fonctionnant comme un seul muscle, si bien que d’une part la terminologie anatomique distinguant des mouvements de flexion-extension, d’abduction -adduction, d’élévation-abaissement et de rotation interne et externe s’avère tendancieuse, la mobilité en rotation constituant le seul substrat mécanique et que d’autre part les contraintes mécaniques que subit l’épaule sont telles que beaucoup d’épaules instables trouvent leur explication dans une désynchronisation musculaire.
3 - Le motif de consultation en pathologie micro-traumatique de l'épaule est le plus souvent la douleur mais aussi une perte d'efficacité du geste avec baisse de la performance professionnelle ou sportive. 
Cette douleur peut être de localisation :

- cervico-trapézienne et sans irradiation, si la lésion est scapulo-thoracique,
- ou gléno-humerale antérieure ou postérieure en cas d'atteinte scapulo-humérale avec irradiation descendante, qui peut faire penser à une névralgie cervico-brachiale; cette douleur peut s'associer à des signes d'accompagnement comme des fourmillements ou la sensation de bras mort dans le cadre d'une EDI (épaule douloureuse et instable).
4 - Nous avons 2 types d'épaules douloureuses mais stables dont une majoritaire en nombre est l'épaule conflictuelle avec ou sans tendinopathie:



Les tendinopathies d'épaule:
- anciennement dénommées épaule en 4 maux de de Sèze (épaule douloureuse simple, épaule enraidie, épaule pseudo paralytique, épaule gelée)
- ensuite décrite par Neer avec ses 3 stades ( impigement syndrome, tendinopathie dégénérative, rupture) et son test anesthésique préalable en sous - acromial et touchant les sujets entre 25 et 40 ans.


                                                       Stade 3 de Neer : rupture de coiffe

- actuellement on sait que ce qui fait mal dans un conflit ce sont les bourses sous- acromiale ou sous-coracoidienne anatomiquement très adhérentes aux tendons ce sont donc des tendino-bursites, avec une symptomatologie en 3 tableaux qui ne se succèdent pas forcément: bursite seule sans signe de tendinopathie, tendinopathie théoriquement superficielle mais le plus souvent profonde par dégénérescence primaire, rupture totale ou partielle.
 Cette majorité d'épaules douloureuses dites conflictuelles sont:
- primaires par passages répétés.
mais le plus souvent secondaires: 
a- à une altération de l'anatomie du tendon (celui du sus épineux est particulièrement fragile par défaut de vascularisation de son insertion terminale sur la facette supérieure du
trochiter avec signes de tendinopathie mais sans signes de conflit)
b- ou à des modifications des conditions de passage dans le défilé sous acromial par déficit de fixation scapulaire le plus souvent fruste par étirement répété du nerf grand dentelé et sans signes cliniques patents (ne pas hésiter à faire exécuter plusieurs dizaines de mouvements spécifiques pour fatiguer le muscle)
c- ou par instabilité antérieure occulte et ou contexte d'hyper-laxité globale
On distingue 3 sortes de conflits :
a- le conflit Antéro Supérieur (A/S) le premier décrit et le plus typique "Impigement syndrome de Neer" : cliniquement il y a positivité des tests de Neer et de Yocum et parfois Hawkins. 
                                                                conflit A/S


b- le conflit Antéro Interne (A/I) plus diffus que le précédent et favorisé par l'instabilité antérieure avec tests de Hawkins et d'Adduction Horizontale-Rotation Interne, ce dernier commun avec la pathologie A/C.
                                                                                  
                                                                                     conflit A/I

c- le conflit Postéro Supérieur (P/S) de Walch-Jobe  plus anecdotique et d'individualisation récente arthroscopique en position d'armé du bras avec conflit trochiter / coiffe profonde contre glène et bourrelet postéro- supérieur de la glène de l'omoplate et manoeuvre d'appréhension douloureuse qui disparaît au test de recentrage avec poussée inverse d'avant vers l'arrière (Relocation test de Jobe).

                                                                                    conflit P/S

5- L'autre type d'épaule douloureuse et stable est l'épaule neurologique: 
a- par souffrance du nerf supra-scapulaire qui naît de la face postérieure du tronc primaire supérieur du plexus brachial ; il se trouve lésé le plus souvent dans la partie haute de son trajet au niveau de l'échancrure coracoïdienne; parfois la lésion porte sur la partie basse de son trajet (répercussion sur le seul muscle sous épineux) au niveau de l'épine de l'omoplate (échancrure spino - glénoidienne).





Ces lésions nerveuses sont dues :
- à des étirements répétés (mais parfois après un geste brutal)
- ou à un kyste postérieur d'origine capsulaire ou en provenance du bourrelet glénoidien postérieur (vu  en arthro IRM).
La symptomatologie douloureuse habituellement brutale mais avec retentissement fonctionnel fruste au départ est souvent de diagnostic retardé.
L'évolution de cette épaule douloureuse chronique avec douleur postérieure se fera progressivement vers l'amyotrophie visible à l'inspection, la faiblesse patente aux manoeuvres de Jobe et en rotation externe coude au corps (RE1) mais sans signe du portillon (à différencier de la rupture tendineuse ou le signe du portillon est positif avec rappel automatique alors que dans la faiblesse neurologique, la position du bras est maintenue et il n'y a pas de rappel automatique en rotation interne).
b- par lésion du nerf grand dentelé de CHARLES BELLlong de 16 à 20 cm, c'est une des 7 branches postérieures du plexus brachial destiné aux muscles de la paroi postérieure de I'épaule; il naît par 2 racines distinctes de C5 et de C6 puis descend verticalement en arrière du plexus brachial, puis sur la paroi latérale du thorax (ou il se coude sur la 2ème côte avec accentuation inspiratoire) appliqué contre le muscle grand dentelé ou il se distribue.



Étiré de façon brusque ou progressive la symptomatologie douloureuse postérieure vive, s'amende en quelques jours pour laisser place à une épaule progressivement déficitaire avec fatigabilité, perte d'efficacité du geste, manque de force, maladresse, et douleur nocturne. Le diagnostic devient évident mais assez tardivement lorsque l'omoplate décollée (scapula alata) fait une saillie nette, avec ascension et rapprochement de la ligne des épineuses de son angle supéro-interne, et rotation anti-horaire de la pointe (à différencier du décollement de l'omoplate par atteinte du trapèze supérieur avec éloignement de l'omoplate de la ligne des épineuses).
                                                                               

6 - Il y a 3 types d'épaules douloureuses et instables (EDI)
a/- l'EDI: rebord glénoïdien antérieur et inférieur, bourrelet (labrum), ligaments gléno-huméraux sont des structures anatomiques particulièrement exposés  dans les sports comportant un armé du bras: javelot++ en athlétisme, service au tennis, smash au volley-ball, tir au hand. Leurs lésions correspondent à ce que l'on appelle" l'épaule douloureuse et instable" (EDI) dont le début est cliniquement brutal dans la majorité des cas. Plus rarement, la douleur apparaît progressivement et se manifeste après l'activité sportive. 
L'intensité des douleurs est variable, allant d'une simple gêne passagère à une douleur vive et la gêne fonctionnelle est plus ou moins grande. La poursuite du sport est possible mais contrariée pour certains gestes dans leur amplitude ou dans leur vitesse d'exécution. Elle peut devenir suffisamment importante pour obliger le sujet à modifier son geste et même à interrompre complètement son activité. 
On décrit trois formes cliniques 
- les formes douloureuses pures relevant d’un traitement médical et kinésithérapique. Si échec, traitement arthroscopique. 

- les formes instables, s’accompagnent plus ou moins de douleurs, avec une laxité clinique et des signes radiologiques relèvent d’un traitement chirurgical par intervention de Latarjet (butée). 

- les instabilités fonctionnelles sans signes radiologiques, de traitement conservateur, ou en cas d’échec d’un agrafage sous arthroscopie, ou d’une butée. 

Le diagnostic est radio-clinique: positivité des manœuvre d’appréhension en ABDRH et laxité G/H au test de Rodineau. Radios suivant le protocole de Bernageau (3 clichés de face et 1 ou 2 profils glénoïdiens) = lésion du rebord glénoïdien antérieur et inférieur (visière de la casquette). L'arthroscanner visualise en entier le Labrum (EDI = lésion inf.), la capsule et les ligaments gléno-huméraux. 




mise en évidence d'une fracture du rebord antérieur et inférieur de la glène de l'omoplate (visière de la casquette) chez un lanceur de javelot avec signes cliniques d'EDI

Le traitement va consister à améliorer la stabilité de l'épaule par le renforcement musculaire et la rééducation proprioceptive ou par la chirurgie. avec lésion du Bourrelet Glénoidien inférieur et de la glène inférieure à rechercher attentivement sur les 2 profils glénoidiens de Bernageau avec triade clinique d'instabilité: test d'appréhension en ABDRH +++ et de laxité gléno humérale de Rodineau.




b/- les 4 SLAPS lésions de SNYDER (découvertes d'arthroscopie) intéressant le TLB (tendon du Long Biceps) et ses attaches proximales avec le bourrelet supérieur antérieur et postérieur entre 1 heure et 13 heures et dont l'adhérence discontinue physiologique à la glène est très proche des stades 1 et 2 mais avec signes d'instabilité sans laxité et test Palm - up sur le long biceps positif.


  
                                            SLAP1


c/- l'instabilité du TLB (tendon du long biceps) dans sa gouttière anatomique avec ressaut antérieur.

                              

7 - Face à une épaule douloureuse, le médecin consulté applique la règle des 3 M +++ de la Pitié Salpétrière:
a/ quel malade?: quel est son profil, sa volonté de guérir y compris celle d'accepter une éventuelle intervention chirurgicale.
b/ quelle maladie? : bien appréhender le mécanisme lésionnel, faire une bonne évaluation clinique qui guidera au mieux l'imagerie complémentaire.
c/ quel médecin ou chirurgien? : conservera jusqu'à son terme la conduite du traitement pour un dénouement satisfaisant.
8 - Il y a un préalable clinique d'importance, celui d'éliminer une capsulite 
en effet la présence d'un schéma capsulaire avec limitation globale des amplitudes tant en actif qu'en passif, portant successivement sur
- l'EA (élévation antérieure) 
- puis la RE1 (rotation externe 1) coude au corps
 - puis l'Abduction en bloquant l'omoplate 
- puis la RI (rotation interne) main dos, rend l'examen physique in-interprétable.

- Il ne faut pas hésiter à pratiquer une infiltration de corticoïde, d'abord sous acromiale puis en cas d'échec, intra - articulaire par voie antérieure, postérieure ou supérieure.

En cas de conflit plus diffus: utiliser une aiguille longue avec seringue de 20 cc et piquer en  sous acromial externe pour la première et dans le sillon delto pectoral pour l'intra articulaire par voie antérieure, 2 travers de doigt sous la coracoïde et un travers de doigt vers en dehors, coude fléchi et rotation externe forcée pour ne pas toucher le TLB. Rappelons que cette infiltration doit être suivie d'une période de repos de 4 à 6 semaines si l'on veut que cette infiltration soit efficiente.

NB: de plus en plus il est recommandé d'injecter de l'acide hyaluronique dans les tendinopathies de coiffe symptomatiques, par voie sous acromiale, alors que les injections de PRP n'ont aucun effet bénénéfique. 
10 - La place des examens complémentaires +++
Au terme du bilan clinique, le clinicien a déjà une présomption forte de la structure articulaire ou péri articulaire qui souffre.
La certitude diagnostique viendra de l'imagerie complémentaire, qui de toute façon sera la plus ciblée possible, donc réduite le plus souvent à la simple radiographie standard (les 3 clichés de face + 1 en abduction forcée + 1 de l'articulation A/C + 1 profil soit de coiffe, soit glénoidien pour l'EDI) complétée par une échographie encore  opérateur dépendant).
En fonction de la lésion suspectée, et en cas de négativité ou d'insuffisance de l'imagerie de premier recours et uniquement si une amélioration par une thérapeutique spécifique est envisageable, il faut passer la main et laisser l'initiative au confrère qui va poursuivre la prise en charge du patient qu'il soit médecin rééducateur ou rhumatologue ou chirurgien, du choix de l'imagerie complémentaire de second niveau: scanner, arthrographie, emg, arthro-scanner, irm, arthro-irm qui sera le plus directement utile pour résoudre le problème thérapeutique présenté par le patient.
Grille d'examen de l'épaule.
a-historique:
quel malade ? :
quel mécanisme lésionnel ?:
- ou traumatisme unique et violent + signes immédiats + évolution + traitement institué
- ou micro-traumatologie à expression douloureuse par analyse de la structure de l'épaule qui souffre à travers l'étude du geste professionnel ou sportif à l'origine du conflit.
b-doléances 
La douleur peut - être de type:
- Gléno-Humérale antérieure ou postérieure + signes d'accompagnement (instabilité, engourdissement, sensation de bras mort, ressaut, claquement).
- Cervico-trapézienne : pour la Scapulo - thoracique
c- l'examen en 7 temps
1-inspection: déformation,amyotrophie
2-mobilité active et passive : observer
- rythme
- arc douloureux
- schéma capsulaire: élévation antérieure, rotation externe , abduction, rotation interne.
- amplitudes globales: ea,el,rétropulsion
- amplitudes analytiques du scapulum: élévation(trapèze supérieur et angulaire, abduction (grand dentelé), adduction (trapèze moyen et rhomboïdes).
amplitudes analytiques de la gléno-humérale (abduction, rotation externe en position 1+2+3, rotation interne)
3-force musculaire du scapulum et de la gléno-humérale
4-signes de coincement: adduction horizontale (ADDH), test de Neer, test de Hawkins, test de Yocum.


                                                                           Test de NEER

5-testing analytique contre résistance (douleur par tendinopathie ou faiblesse par rupture ou atteinte neurologique: tests de Jobe (sus épineux), Patte (sous épineux), Liff off test de Gerber et Belly press test ++ du sous scapulaire, Palm up test de Gilchrist et étirement pour le long biceps.




                                                                             Test de JOBE


                                                                              Palm up Test


                                                                             Test de PATTE






6-stabilité du scapulum et de la glénohumérale (manoeuvre d'Appréhension, test de Rodineau antérieur , postérieur , inférieur et Sulcus signe
7-palpation
8- diagnostic différentiel: névralgie cervicobrachiale/syndrome du défilé costo claviculaire.



         L'arthropathie A/C est une lésion de sur-utilisation de l'articulation acromio-claviculaire  du complexe de l'épaule. Elle se présente cliniquement sous la forme d'une trapézalgie  que des radiographies ciblées de l'A/C ont tôt fait de diagnostiquer. Son traitement est médical et chirurgical parfois. On ne la rencontre quasiment qu'en milieu sportif et beaucoup en milieu carcéral et tout spécialement chez les adeptes de la musculation du train supérieur (répétitions excessives de séries de développé- couché, développé-nuque, etc.). Les autres sports incriminés: haltérophilie, judo, rugby, lutte et les sports qui ont en commun l'utilisation de mouvements amples de l'épaule et à grande vitesse, avec une fin de geste en adduction croisée (jeux de ballon, jeux de raquette, golf, tennis vétéran, lancers en athlétisme, squash, badminton, volley ball, handball).
Mécanisme lésionnel
C'est une pathologie d'hyper-utilisation bilatérale chez les adeptes de la musculation à outrance ou qui ne touche que le membre dominant dans les autres sports. Il n'y a pas de  traumatisme déclenchant et la population en cause est jeune. A titre personnel, nous la rencontrons en nombre en milieu carcéral ou la musculation est le passe -temps voire la raison de vivre de beaucoup de jeunes détenus.
Clinique
Une trapézalgie d'apparition progressive est le signe clinique principal.  Parfois, le premier symptôme est une tuméfaction de la région acromio-claviculaire, en dehors de toute notion traumatique.
L'examen est assez pauvre mais très évocateur à la palpation-mobilisation de l'articulation A/C. Les amplitudes articulaires de l'épaule sont globalement conservées, réveillant des douleurs en bout de course lors des élévations antérieure et latérale, en rétropulsion et surtout au testing en adduction horizontale. 
Le testing tendineux gléno-huméral est négatif. L'A/C peut être aussi isolément tuméfiée.  La clavicule est stable.
L'imagerie
Les radios guidées par la clinique doivent être centrées sur l'A/C et la Gléno/Humérale.
Les signes sont exclusivement du côté claviculaire:


Radiographie: géodes,  condensation de l'extrémité de la clavicule,
                       conservation de l'interligne articulaire, absence de pincement,
                                       pas d'ostéophytose,  pas d'ascension claviculaire.

Diagnostic différentiel
1- Essentiellement l'arthrose acromio-claviculaire: patient plus âgé; symptômes bilatéraux; signes d'arthrose sur la radiographie: pincement articulaire, ostéophytose, remaniement des deux berges articulaires).




2- L'ostéolyse du quart externe de la clavicule:
- soit affecte des sujets jeunes portant des poids lourds (travaux de force, haltérophiles +++), où l'articulation est atteinte en fait par des micro-traumatismes répétés. 
- soit  fait suite dans des délais variables à un traumatisme plus ou moins important (contusion, entorse, luxation acromio-claviculaire). Les  radiographies  montrent une  fonte de l'extrémité distale de la clavicule qui s'amincit en "sucre d'orge" avec un élargissement progressif de l'interligne (jusqu'à 3 cm).
- parfois affecte un sport d'équipe,  comme le rugby, où l’épaule est particulièrement exposée.


Hypothèse physiopathologique: nécrose ischémique de l’extrémité distale de la clavicule (trouble de la vascularisation de l'artère acromio-coracoïdienne.


Vascularisation de l’extrémité distale de la clavicule (d’après Le Huec)
1 : Artère acromio-thoracique
11 : Artère claviculaire
12 : Artère acromiale
13 : Artère delto-pectorale
14 : Artère thoracique

Pour le diagnostic, l'IRM est très performante.
La cicatrisation peut se faire avec une restitution ad integrum  en 1 année ou plus, avec  souvent production d'importantes calcifications péri-claviculaires .


                              Ostéolyse du 1/4 externe de la clavicule (radio et IRM)

Le  traitement médical de l'arthropathie A/C
Le repos sportif est essentiel . Il est souvent mal respecté.
 Les  antalgiques et les anti-inflammatoires per os sont suffisants, mais il faut parfois recourir  sans hésiter, à 1 ou 2 infiltrations intra-articulaire de l'A/C.
Le traitement chirurgical 
En cas d'échec du traitement médical, la solution est de réséquer l'extrémité de la clavicule, en dehors des ligaments coraco-claviculaires, de façon à ne pas déstabiliser l'articulation.