Un Lanceur de Haut Niveau est par définition un athlète avec une intelligence motrice hors du commun, cette dernière se définissant comme une adaptation optimale aux diverses situations avec résolution de tous les problèmes moteurs rencontrés. Intelligence motrice que les professeurs d'EPS se doivent de développer chez tout enfant scolarisé et que les coachs de Lancers doivent amener à leur quintessence. Le socle de cette intelligence motrice est la sensori-motricité du mouvement à partir de laquelle elle se met en place par étapes successives de construction et de stabilisation avec participation active de la mémoire et de l’expérience qui sont essentielles afin de différencier ce qui permet la réussite de ce qui provoque l’échec, puis intégration du fruit de cette différenciation par exploration des extrêmes et ajustement progressif des réponses (A. Piron).
Si lancer loin est l'apanage d'un tout petit nombre, c'est avant tout lancer bien, l'acquisition du geste technique juste, étroitement lié aux qualités de force/vitesse, de coordination et d'adresse est fondamental et loin d'être un long fleuve tranquille. Avoir un gabarit hors nombre est un plus indéniable, mais sans un travail acharné de force/vitesse des membres supérieurs et inférieurs, cet avantage naturel disparaît.
Les contraintes articulaires et rachidiennes pour acquérir l'indispensable force explosive allant au delà des seuils de résistance physiologique, la blessure est omniprésente à très haut niveau, d'où l'impérieuse nécessité d'un encadrement médical de proximité de qualité que l'on ne saurait trouver sous les sabots d'un cheval. Feindre d'ignorer cette évidence, c'est faire prendre un risque inconsidéré à nos meilleurs Lanceuses et Lanceurs.

A ses origines dans la Haute Antiquité le disque était en pierre; de nos jours l’engin est en bois ou en métal et entouré d’une jante métallique. Sa masse est de 2 kg pour les hommes et 1 de kg pour les femmes. Dans le cercle, le lanceur tourne le dos à l’aire de réception, le disque posé dans la main dominante repose sur la dernière phalange. La phase de préparation débute lorsque le bras tendu dans l’axe des épaules se met en mouvement; s’ensuit ensuite une volte d’un tour et demi avec augmentation progressive de la vitesse. Pendant la phase d’éjection l’action coordonnée des membres inférieurs, du tronc et du membre supérieur permet d’augmenter la vitesse du disque jusqu'à son éjection à une vitesse de 25 m.s-1, pour une durée totale du mouvement inférieure à 1,5 s.
En biologie cellulaire, l'ATP (adénosine tri phosphate) a une importance fondamentale dans le domaine des échanges d'énergie. C'est une molécule chimique riche en énergie qui en se combinant aux 2 protéines contractiles musculaires d'Actine et de Myosine va libérer de l'énergie. Il intervient pour transporter l'énergie à l'intérieur de chaque cellule humaine depuis la graisse ou le sucre apporté par la circulation dans les cellules jusqu'à l'usine qu'est la Mitochondrie où vont se produire les réactions chimiques successives nécessaires à la contraction musculaire. La réserve d'énergie sous forme d'ATP dont dispose l'organisme pour accomplir un travail musculaire est faible et ne permet qu'un exercice physique de quelques secondes. Seul le renouvellement constant des molécules d'ATP va permettre à la contraction musculaire de se poursuivre.
- en présence d'O2 (en aérobiose) le bilan énergétique provenant de la dégradation d'une molécule gramme de glucose (soit 180 grammes), carburant de toute cellule animale ou végétale et mis en réserve dans le foie et les muscles chez l'homme est de 39 ATP, soit 400 000 calories.
- en absence d'O2 (en anaéorobiose) le bilan énergétique provenant de la dégradation d'une molécule gramme de glucose est de 2 ATP. En anaérobiose la cellule musculaire a donc besoin de 19 fois plus de glucose pour produire la même quantité d'énergie et le même travail musculaire (rendement en anaérobiose 19 fois inférieur).
Cet oxygène prélevé au niveau atmosphérique est acheminé jusqu'au muscle par une chaîne dîte "de transport de l'oxygène"; le renouvellement de l'ATP au sein de la cellule musculaire va dépendre de la présence ou non de cet oxygène.
Trois filières vont intervenir dans le renouvellement des molécules d'ATP:
- la 1ère filière est la filière Aérobie qui ne produit pas ou peu de déchets.
- les 2 autres sont des filières Anaérobies, dont l'une produit des déchets lactiques.
a- La filière aérobie
La filière aérobie correspond au processus de régénération de l’ATP à partir de la dégradation complète des glucides (cycle de Krebs), des lipides (béta oxydation des acides gras) et même des Acides Aminés pour les performances de longue durée > 3 heures.
Cette filière O2 qui utilise majoritairement comme carburant les sucres et les graisses (glycogène et acides gras) est inépuisable quand elle utilise comme carburant les graisses.
Elle permet une production constante et élevée d'ATP. Dans un effort de longue durée cette filière permet la reconstitution du stock d'ATP sous forme de Phosphagène, très vite épuisé et l'élimination de l'Acide lactique, déchet d'une des 2 filières anaérobies. Ce dernier mécanisme d'élimination des déchets lactiques est encore appelé "paiement de la dette d'oxygène. Championne toute catégorie de la production d'énergie cette filière Aérobie a toutefois un inconvénient, sa grande inertie, le débit maximal n'étant obtenu qu'après plusieurs minutes d'effort.
b- La filière du Phosphagène ou filière ATP-PC anaérobie alactique
C'est la 1ère filière Anaérobie conduisant au renouvellement de l'ATP ou filière du Phospagène qui représente l'ensemble des réserves d'ATP et de Créatine phosphate (PC) présentes au niveau des muscles. C'est une source d'énergie précieuse intervenant dans les efforts brefs et de grande intensité de quelques secondes en puissance (pic de puissance à 6 secondes), qualité naturelle peu améliorable et correspondant au débit du robinet, jusqu'à 20-25 secondes en capacité (qualité acquise grâce à un entraînement spécifique dit de capacité de vitesse et correspondant au réservoir). Cette filière ne produit pas de déchet (filière alactique).
c- Conception classique de la filière LACTIQUE (AL).
d- Conception moderne de la filière lactique.
- d'un côté, le sensoriel qui correspond à la prise d'informations et leur acheminement vers le système nerveux central (cerveau et moelle épinière)
- de l'autre, la motricité qui correspond à la contraction musculaire.
- proprio-récepteurs des muscles, des tendons et des articulations de la tête, du rachis cervical et de la zone du pied, renseignant sur la position et les mouvements des différents segments corporels et sur le tonus musculaire.
A noter que la sensori-motricité précède l'intelligence motrice. Cette intelligence motrice construit les savoirs et les connaissances propres aux différents domaines de la motricité, cette motricité étant l'activité du corps qui inclue la conscience et les sensations (A. Piron), comme peut l'être la pensée, qui est l'activité de l'esprit.

Ces fuseaux ont plusieurs rôles :
- ils facilitent la contraction musculaire en provoquant un feedback positif : l'étirement brusque du muscle provoque sa contraction réflexe.
Rappelons qu'un réflexe est une réponse musculaire involontaire, stéréotypée et très rapide à une stimulation sans qu'il y ait intervention du cortex cérébral ou de la volonté et la voie neurologique qu'il emprunte est un circuit court, monosynaptique.
Le système vestibulaire des Labyrinthes: canaux semi-circulaires, succules, utricules, nerf vestibulaire, intervient dans l'équilibre, la coordination et l'adresse
On vient de voir l'importance de la Coordination dans les Lancers. Une autre qualité physique de première importance, c'est l'Adresse. Coordination et Adresse sont des activités sensori-motrices qui font intervenir les récepteurs extéroceptifs visuels et cutanés et proprioceptifs (oreille interne, muscles, articulations, tendons, ligaments) et le cortex cérébral hémisphérique et limbique (programmation centrale et circuit de la mémoire) et partagent la même problématique d'acquisition et de maîtrise du geste.
L'adresse enrichit le bagage technique du sportif en coordonnant les actions motrices simultanées et la précision dans l'espace, dans le temps et dans les rythmes et elle est facteur d' économie dans l'effort (V. M. Zatsiorski). Elle devrait être introduite très tôt (Baby Athlé) dans les activités de Lancer, les enfants étant capables d'assimiler parfaitement une gestuelle complexe sans avoir à passer par la case gestuelle élémentaire (analytique).
Au niveau des membres inférieurs, l'extension du genou et de la hanche sollicite les muscles grands fessiers pour la hanche, quadriceps et triceps sural pour le genou; muscles également sollicités au cours du demi-squat.
Au niveau des membres supérieurs interviennent :
- les muscles rhomboïdes, fixateurs de l’omoplate; ils maintiennent la posture des membres supérieurs et travaillent en isométrie, dans les disciplines de poids, marteau et disque
- les muscles adducteurs d’épaule : grand pectoral et deltoïde antérieur travaillent en dynamique au cours des mouvements de lancer du poids et du disque et en isométrie au lancer de marteau
- le muscle triceps brachial lors du mouvement d'extension du coude, travaille en dynamique au cours de l’éjection au lancer de poids et en isométrique au lancer de marteau.
Ces muscles adducteurs d’épaule et extenseurs du coude sont également sollicités au cours du mouvement de développé couché.
Rôle de la vitesse d'envol
Ce test explore le métabolisme anaérobie alactique et lactique. Le sportif effectue un effort violent sur bicyclette ergométrique de 30 secondes dont la résistance est fonction du poids corporel et de la cadence de pédalage. La capacité anaérobie lactique est difficile à distinguer de celle du métabolisme anaérobie alactique en raison de l’intervention physiologiquement quasi immédiate de la glycolyse anaérobie avec production de lactates dès les premières secondes de l’exercice. Elle prend en compte la P max (puissance maximale) observée dans les 5-8 premières secondes (en prenant en compte l'inertie de l'ergocycle) et la capacité lactique (puissance moyenne sur les 30 secondes).Trois indices peuvent être retenus pour ce test:
- Puissance pic (des 5-8 première secondes). Le pic de puissance correspond à la puissance maximale alactique.
- Puissance moyenne sur toute la durée du test de 30 secondes = puissance métabolisme anaérobie lactique + alactique (après avoir atteint le pic de puissance maximale, on observe ensuite une baisse continue de puissance).
- Endurance anaérobie lactique = faculté de soutenir un fort pourcentage de la Puissance pic (Ppic/Pfin test).
Résultats du test: ce test est intéressant dans les sports de haut niveau à forte capacité anaérobie comme le cyclisme sur piste, le patinage de vitesse, le hockey sur glace, etc.
Il peut être aussi utilisé pour le contrôle du développement musculaire après blessure ou pour suivre les effets d'un entraînement spécifique. Dans les Lancers en Athlétisme, la détermination du Pic de Puissance est nécessaire et suffisante.
L’ergomètre cyclus 2 (de type électronique et isocinétique) est parfait dans sa conception pour le test anaérobie de Wingate, les paramètres du test pouvant être réglés facilement dans le masque de saisie.
L’effort demandé sera fonction du poids du sujet et de la force de pédalage (il est possible d'effectuer le réglage comme il est courant de le faire sur un ergomètre Monark, kilogramme par kilogramme de poids du corps).
Le sujet roule graduellement pour obtenir la fréquence de pédalage de début de test, puis accélère à fond après l’avoir atteint.
En fin d'effort, les résultats d’évaluation sont indiqués sur l’écran de contrôle et peuvent être recueillis sur une imprimante connectée au cyclus 2.
Les tests d’évaluation constituent une appréciation portée sur une activité sportive et sur le pratiquant, selon des critères préalablement définis. Elle éclaire la décision de l'éducateur sportif dans de nombreux domaines : orientation sportive du débutant, détection du talent sportif, sélection du compétiteur, organisation et suivi de l'entraînement, etc.
Quels que soient les tests utilisés, ceux ci montrent que les valeurs de puissance maximale anaérobie sont supérieures chez les athlètes pratiquant des sports de puissance et de vitesse et lorsque les épreuves sont proches des exercices réalisés à l’entraînement ou en compétition.
Les cahiers EPS, n°34 : construction-évolution de l'intelligence motrice
Ne sont traitées dans cet article que les pathologies de la colonne vertébrale (rachis cervical et lombaire), de l'épaule et du coude, régions anatomiques particulièrement exposées chez les Lanceurs. Les autres pathologies qui peuvent affecter les Lanceurs, celles du bassin (pubalgies, dystrophies de hanche du jeune Lanceur, conflit antérieur de hanche avec coxarthrose précoce), du genou (lésions chondro-méniscales), du poignet (tendinopathies), les fractures de fatigue, les accidents musculo-tendineux, etc., sont traitées dans le blog "un médecin du sport vous informe" consultable sur le Net.
Sur le plan osseux : l'épaule est composée de 3 os :


Sur le plan musculaire


- muscles postérieurs très puissants : trapèze; deltoïde postérieur; supra et infra épineux; petit et grand rond; rhomboïdes; angulaire (levator scapulae); triceps brachial.
Efficacité du complexe de l'épaule rendue possible grâce à la synchronisation parfaite et indispensable de ses deux composantes scapulo-humérale et scapulo-thoracique:
- la scapulo thoracique (ST) comprend les deux articulations acromio-claviculaire et sterno -costo-claviculaire, et la bourse de glissement omo-thoracique dont l'importance fonctionnelle est majeure en autorisant lors du mouvement d'élévation du bras, le mouvement de sonnette (bascule) de l'omoplate de 60° qui doit être maintenu libre en toutes occasions pour ne pas être faussé. Toute altération de positionnement et de mobilité de l'omoplate (dyskinésie) est source de perte de flexibilité, de fatigue et de déséquilibre musculaire qui auront des conséquences délétères sur la qualité du geste technique des Lancers.
Cette synchronisation entre les deux composantes fonctionnelles de l'épaule qui permet la stabilisation de la glêne dans les 3 plans de l'espace et le positionnement correct de l'omoplate lors de son mouvement de bascule, vont permettre lors du mouvement de lancer, un transfert harmonieux des forces en provenance du tronc vers le membre supérieur.
- hypertrophie musculaire généralisée
- hypotrophie des muscles rotateurs externes (infra épineux et petit rond)
- hyperlaxité naturelle ou acquise de sa partie antérieure et inférieure, rétractée dans sa partie postérieure, avec un excès de rotation externe de plus de 9° et un déficit de rotation interne de 15° en moyenne (Philippe Valenti).
- augmentation de la translation antérieure de la tête humérale en abduction/rotation externe
- modifications osseuses avec accentuation de la retroversion de la tête humérale et de la glène de l'omoplate.
Les muscles rotateurs internes et externes de l’épaule sont un élément influençant la performance dans les sports de lancer et les adaptations musculaires induites par la répétition de ce geste du lancer et la recherche de performances sont considérés comme des facteurs de risque de blessure de l’épaule par déséquilibre musculaire.
Testés sur machine isocinétique, la force musculaire des muscles rotateurs internes et externes est considérée comme un moyen technique d'exploration très pertinent.
La pratique d'un sport d’armé-lancé augmente la force des rotateurs internes du côté dominant sans trop induire de déséquilibre musculaire pouvant être incriminé comme facteur de risque prédisposant à une pathologie d’épaule (Pascal Edouard). Toutefois à une échelle individuelle, tout déséquilibre musculaire doit être pris en considération, dépisté en isocinétisme, pris en compte lors de la préparation physique et au besoin rééduqué.
Exemples de lésions de l'épaule:
1- L'instabilité gléno-humérale antérieure = lésion du labrum et du ligament gléno-huméral inférieur = lésion primaire chez les lanceurs. En cas d'indication opératoire, c'est cette instabilité antérieure que le chirurgien doit corriger avant tout.
2- Les conflits = lésions de frottement d'une partie molle, en l'occurence pour l'épaule les tendons de la coiffe et le labrum pris en tenaille entre deux surfaces dures fibreuses ou osseuses.
- Le conflit postéro-supérieur :
C'est le plus fréquent des conflits d'épaule chez les lanceurs de javelot et mérite d'être un tant soit peu explicité. Il correspond à un affrontement entre la face profonde du muscle supra-épineux, la glène de l'omoplate et le labrum en position d'armé du bras.
Comme la problématique au niveau de l'épaule est une équation impossible à résoudre d'une asymétrie de la force musculaire en faveur des muscles rotateurs internes, cela induit un important déséquilibre que les muscles rotateurs externes et le tendon du long biceps ne parviennent pas à résoudre. Cela va laisser les tubérosités de la tête humérale (grande et petite) venir se fracasser sur des formations ostéo-ligamentaires antéro-supérieures et ou antéro-internes et créer des lésions d'impaction sur les tendons de la coiffe des rotateurs et leurs bourses qui peuvent aller jusqu'à la rupture tendineuse chez les lanceurs de javelot, poids et disque et des lésions d'étirement (par distraction) chez les lanceurs de marteau.
Cette gestuelle répétitive des lancers entraîne un développement excessif des rotateurs internes d'épaule. C'est un phénomène à la fois adaptatif et indispensable à l'exécution du bon geste technique. Cela va s'avérer profondément délétère dès la première primo-blessure et il va falloir s'efforcer de la prévenir par des examens isocinétiques répétés des rotateurs d'épaule et une évaluation clinique régulière du complexe articulaire scapulo-huméral et scapulo-thoracique. L'examen du rachis cervical en particulier des étages C3/C4 et C4/C5 est également essentiel. Au niveau de ces deux étages, les nerfs rachidiens qui s'en échappent, assurent la commande sensitivo-motrice de l'épaule.
On ne manquera pas non plus de tester la force des muscles supra et infra-épineux innervés par le nerf supra-épineux et celle du muscle dentelé de l'omoplate innervé par le nerf long thoracique de Charles Bell.

Radiographies de face et de profil de Bernageau qui cherchent à mettre en évidence des lésions d'usure (inconstantes) du rebord postérieur de la glène.
Echographie des tendons de la coiffe à la recherche de lésions de tendinopathie du supra -épineux.
Arthro-scanner à la recherche de lésions du labrum et parfois du cartilage ou de l'os.
Place de l'arthroscopie
En cas de négativité des examens para-cliniques, le recours à une arthroscopie exploratrice est recommandée par la plupart des spécialistes de l'épaule, afin de mettre en évidence les lésions intra-articulaires (face profonde du supra-épineux, du labrum, de la capsule antérieure et des ligaments gléno-huméraux).
Elle est médicale si les lésions sont peu évoluées: arrêt temporaire des activités sportives pendant quelques mois, modification de la gestuelle sportive (raccourcissement du geste?), kinésithérapie, une ou deux infiltrations intra articulaires de corticoïdes sous contrôle radiographique.
Chirurgicale sous arthroscopie quand il s'agira de diagnostiquer et traiter des lésions intra articulaires (bourrelet, coiffe, ligaments) sans agresser les parties molles, par de minimes incisions (moins de 1 cm par incision).
La rééducation commence à la fin de la 6° semaine et la reprise du sport entre trois et six mois post opératoire.
Résultats
La chirurgie à un bon résultat sur la douleur (environ 90% de bons résultats).
Rappelons que dès 1985, débridement chirurgical et régularisation des lésions de la face profonde du sus-épineux, avait été proposé par ANDREWS. Dans sa série, 76% avait pu reprendre leur sport au même niveau, 9% à un niveau inférieur et 15% avaient été incapables de reprendre quelque sport que ce soit.
L Favard, Ch Lévigne, G Walch sur 36 athlètes opérés avec un suivi compris entre 19 et 123 mois (suivi moyen de 47 mois) ont noté:
- reprise à bon niveau: 18/26 (69%)
- reprise à un niveau inférieur: 6/26 (23%)
- déçus : 2/26 = 8%

Ses 4 compartiments : interne (médial) surtout, externe (latéral), postérieur et antérieur, vont subir des contraintes qui vont dépasser les limites de la résistance physiologique de leurs structures intra et extra-articulaires et entraîner des lésions que nous détaillerons.
Seront traitées également dans cet exposé :
- une pathologie du jeune lanceur (se) de javelot, qui peut être redoutable si elle tarde à être diagnostiquée : l'ostéochondrite disséquante.
- les pathologies dégénératives du coude des vieux lanceurs.





Quant au compartiment antérieur il va s'agir essentiellement de lésions tendineuses de l'insertion distale du tendon du biceps brachial, par hypersollicitation.

1- Le syndrome d’hypersollicitation et de compression fascial de Bennett
Ces deux syndromes correspondent à des lésions fonctionnelles sans lésion et leur traitement va reposer essentiellement sur le repos et la récupération par de la kinésithérapie.
En cas d’échec du traitement conservateur, il peut y avoir exceptionnellement besoin de recourir à une fasciotomie chirurgicale de décompression musculaire.
Les sollicitations répétées du coude par la gestuelle technique et l'entraînement physique vont engendrer des micro-lésions intra-ligamentaires qui vont progressivement affaiblir le LCU, jusqu’à une possible rupture, qui peut parfois survenir de manière brutale.
Le diagnostic va reposer sur l’existence d’une douleur localisée au niveau du bord médial du coude lors de la phase d’armé du bras et d’accélération.
L’examen retrouve cette douleur en dessous de l’épicondyle médial au niveau de l’articulation huméro-ulnaire. La mobilisation en valgus peut mettre en évidence une laxité interne pathologique par rapport au coude contra-latéral, signe d'instabilité.
L'imagerie : radiographies et échographie en stress, arthro-scanner ou arthro-IRM visualiseront la lésion ligamentaire.
Le traitement conservateur repose sur une rééducation spécifique du groupe des muscles fléchisseurs-pronateurs.
Le traitement chirurgical n’est réservé qu’aux échecs des traitements conservateurs. Il comprend la réparation ou la reconstruction du faisceau antérieur du LCU à l’aide d’un greffon tendineux.
3 - Lésions du nerf cubital (ulnaire)
Il faut bien se rappeler au préalable qu'au coude, le nerf ulnaire emprunte un défilé (gouttière épitrochléo-olécranienne) dans lequel lors du passage de l'extension à la flexion, il va subir un conflit entre contenant (défilé) et contenu (nerf ulnaire).
- le contenant (défilé) va diminuer en volume de 55% et la pression intra défilé va être multipliée par six.
- le contenu (nerf ulnaire) va subir une élongation physiologique de 4,7mn, si bien que la répétition des contraintes liées à la gestuelle sportive va limiter la liberté du nerf dans le défilé et occasionner des tractions anormales, source de souffrance sensitive d'abord, puis motrice, qu'il ne faudra surtout pas laisser s'installer durablement.
Le nerf ulnaire peut être lésé isolément ou être associé aux autres lésions du compartiment médial et résulter d’un traumatisme direct, d’un phénomène de traction, de compression ou de friction.
Les lésions par traction sont liées aux contraintes exercées sur le nerf en cas d’instabilité en valgus du coude.
Les irritations du nerf par friction sont en relation avec l’existence d’une subluxation du nerf dans sa gouttière et éventuellement à l’existence d’ostéophytes au niveau des bords de cette gouttière.
Enfin l’hypertrophie musculaire peut entraîner une compression du nerf ulnaire au niveau de l’arcade du fléchisseur ulnaire du carpe.
Un électromyogramme (EMG) confirmera cette atteinte sensitivo-motrice et permettra d’évaluer la sévérité de l’atteinte et le pronostic.
Le traitement si le syndrome canalaire est peu sévère fait appel aux infiltrations de corticoïdes en association avec une immobilisation par attelle amovible nocturne, coude à 45°. En cas d’échec du traitement médical par atteinte neurologique sensitive-motrice sévère à l'EMG, une neurolyse chirurgicale du nerf ulnaire dans sa gouttière s'avérera nécessaire.
Lésions ostéo-chondrales radio-humérale du compartiment externe par distraction (étirement)
L’effet des contraintes en valgus au niveau du coude du côté interne va entraîner des forces en compression au niveau du compartiment latéral radio-huméral, d’autant plus si le versant interne est instable en valgus, avec apparition de lésions ostéo-chondrales au niveau du condyle latéral ou au niveau de la tête radiale. Possibilité aussi de formation de corps étrangers.
Cliniquement ces lésions externes par compression vont se traduire par des douleurs latérales, à l’effort, ou lors des mouvements de prono-supination et parfois de blocages du coude. La mise en compression à l'examen physique de l’articulation huméro-radiale va reproduire ou augmenter la symptomatologie douloureuse. L'arthro-scanner ou l’IRM confirmeront le diagnostic clinique.
Le traitement est essentiellement médical (kinésithérapie). La régularisation arthroscopique d’un fragment ostéo-chondral peut être préconisée en cas de clapet ou de fragment libre articulaire.
1- Le conflit postérieur de surcharge
Les contraintes en extension-valgus vont entraîner des symptômes au niveau du compartiment postéro-médial du coude en relation avec conflit entre l’olécrâne et le bord médial de la fossette olécrânienne de l’humérus.
Le diagnostic
Les lanceurs vont se plaindre de douleurs au niveau de la partie postérieure du coude lors des lancers apparaissant de plus en plus tôt. Cela aura une répercussion sur la gestuelle technique avec lâché prématuré. Parfois des impressions de ressaut peuvent survenir, voire des blocages dus aux corps étrangers libérés. Généralement il existe un déficit d’extension de 15 à 20°. L’examen retrouve une douleur postérieure à la palpation de la pointe de l’olécrâne, exacerbée par l’hyper-extension du coude.
L'imagerie
Les radiographies standard retrouvent une ostéophytose de la pointe de l’olécrâne et des corps étrangers dans la fossette postérieure. L’arthro-scanner permettra de mieux préciser ces lésions.
Le traitement
Il est d'abord médical. Chirurgical avec nettoyage arthroscopique en cas de persistance de la symptomatologie afin de faire disparaître le conflit.

3 - Les tendinopathie du triceps
Les avulsions ou les ruptures du tendon du triceps sont rares (1 à 2 % de l’ensemble des ruptures tendineuses).
- physiques, par application de charges répétées en musculation
- locaux sur bursite et injections de corticoïdes
- dopage aux anabolisants.
Une réparation chirurgicale n’est justifiée secondairement que si persistent douleurs et faiblesse résiduelle.
1- Les tendinopathies du biceps
Les tendinopathies touchant le tendon distal du biceps sont rares et se présentent sous la forme d'un tableau douloureux, généralement associé à une rupture partielle.
Le diagnostic clinique est frustre: la douleur à la palpation de la tubérosité bicipitale à la face latérale de l’avant-bras en pronation maximale peut aider au diagnostic.
L’échographie ou l’IRM peuvent confirmer l’impression clinique.
Le traitement en cas de tendinite ou de lésion partielle consiste en la mise au repos. Une infiltration au niveau de l’insertion du biceps peut être proposée.
2- Les ruptures du tendon distal du biceps
Le diagnostic est évident en cas de rupture complète:
- douleur brutale comme un coup de fouet avec claquement audible
- ascension immédiate du corps musculaire et parfois en 2 temps
- perte de force à la flexion-supination contrariée du coude
- tendon non palpable sur la face antéro-interne du coude (on retrouve à la place une encoche douloureuse)
- ecchymose tardive
- perte de force de la flexion, significative au testing.
Le traitement chirurgical est de principe. La réparation chirurgicale (réinsertion trans-osseuse) doit être confiée à un chirurgien ayant l'habitude de ce type de lésion sous peine de baisse du niveau sportif, dans les 3 semaines qui suivent la rupture pour limiter les complications.

L'OCD représente la pathologie articulaire micro-traumatique la plus fréquente chez un jeune lanceur, surtout de sexe masculin et survient entre 10 à 20 ans.
Elle correspond à une nécrose localisée de l’os sous chondral qui peut entrainer une fissuration puis une séparation du cartilage articulaire.
Les symptômes de l’OCD sont : la douleur, la raideur, les craquements ou pseudo blocages ou blocages vrais et l’œdème.
La douleur est typiquement localisée sur le versant latéral.
Traitement
Le traitement médical est de 6 mois avec arrêt de l’activité de lancer et mise au repos de l’articulation tout en la mobilisant.

La répétition des sollicitations mécaniques au niveau du coude débouche sur l’apparition de lésions cartilagineuses dégénératives, principalement au niveau du compartiment latéral. Des ossifications ligamentaires diffuses sont aussi fréquentes.
L'arthroscopie++ va permettre d’évaluer l’état des surfaces articulaires.
Elle résulte d’une pratique ancienne et continue des sports de lancer et va se traduire par des douleurs latérales au niveau du coude, des épanchements articulaires et une limitation des amplitudes articulaires avec un flessum du coude. L’arthrose sera d’autant plus importante qu’il existe une instabilité médiale et chronique du coude.

Il s’agit d’une pathologie d’hyper-sollicitation entrainant la production de formations osseuses intra-articulaires. Ils sont souvent associés à l’arthrose du coude.
La prévention au niveau du coude
Une bonne technique de Lancers, un entraînement et un renforcement musculaire spécifique, une reprise progressive en début de saison, un échauffement bien conduit, réduisent considérablement le risque de déstabilisation du compartiment interne, d'hyperpression externe, de surcharge mécanique des compartiments antérieur et postérieur du coude, mais pas toujours comme au javelot par exemple où même parfaitement exécuté, le geste technique contraignant par lui même est pathogène.
Le rachis cervical est particulièrement exposé dans les Lancers, de par :
- son anatomie assez singulière :
* présence d'un uncus au niveau de son plateau vertébral supérieur, sorte de rail qui guide le mouvement inter-vertébral cervical
* apophyse épineuse bifide
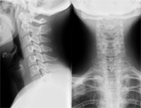
* présence de l'artère vertébrale qui le traverse de part en part dans le canal (foramen) transversaire (images ci-dessous en vue frontale et en coupe)






Le plus souvent elles évoluent à bas bruit avec un tableau douloureux en règle modéré qui s'accompagne d'une limitation fonctionnelle en rotation homolatérale (du même côté que la douleur cervicale) et de contractures musculaires.
Leur évolution se fait par poussées de cervicalgies douloureuses aigues sur un fond douloureux chronique.

Ces céphalées ont pour origine les 3 premières racines nerveuses cervicales dont les branches postérieures innervent le vertex (C3 est interne, C2 est médian, C1 est externe). En cas d'irritation des branches antérieures la palpation retrouve classiquement:
- des signes d’examen rachidien: empâtement douloureux du massif articulaire postérieur, habituellement C2-C3
- des signes crânio-faciaux: palper rouler douloureux avec pli cutané épaissi notamment au niveau du sourcil, de la tempe, de l’angle maxillaire inférieur, signe du shampoing à l’occiput et plus spécifiquement une zone cellulalgique pour C3 sur le sourcil et la joue du côté de la dysfonction cervicale; pour C2 sur la tempe; pour C1 en temporal sus et rétro auriculaire. Les douleurs localisées le plus souvent au-dessus des yeux et à l’arrière de la tête peuvent s'accompagner de nausées.
A retenir:
Lorsqu’aucune affection organique n’est susceptible de prendre le pas sur une étiologie rachidienne fonctionnelle à ces maux de tête et si le bilan radiographique l’y autorise, un traitement manuel est indiqué qui devrait faire disparaître les signes fonctionnels et les signes d’examen physique.
- troubles vestibulaires: vertiges+++, étourdissements, particulièrement lors de mouvements rapides du cou, et sensation de perte d’équilibre.
- troubles de l'audition: sensation d’entendre moins bien et bourdonnements ou sifflements dans les oreilles (acouphènes).
- troubles visuels: fatigue visuelle, sensation d’avoir de la poussière dans les yeux ou de voir des petits points dansants.
- troubles pharyngés: sensation d’avoir quelque chose dans la gorge, difficulté à avaler
- troubles des sécrétions: avoir des chaleurs, une transpiration abondante, des sécrétions nasales et lacrymales.
- troubles cérébraux: difficulté à se concentrer, perte de mémoire, anxiété.
- souvent muette avec juste une impression de grains de sable avec raideur progressive du cou.
- parfois symptomatique et se manifestant alors par des cervicalgies aigues ou chroniques, ou une NCB.
- possibilité de formes intriquées avec le syndrome de Barré et Liéou.
Autre complication possible, rare mais sévère : la myélopathie cervicarthrosique
Elle correspond a une compression lente de la moelle sur un ou plusieurs étages cervicaux par dégénérescence des disques et des uncus des corps vertébraux cervicaux; elle touche le lanceur âgé avec un mode de début insidieux, parfois progressif, parfois brutal et iatrogène après manipulation cervicale intempestive ou secondaire à un traumatisme en hyper-extension.
Sur le plan clinique il y a association d'un syndrome lésionnel avec mono ou pluri radiculalgie cervico brachiale suivant le niveau de l'atteinte + un syndrome sous lésionnel : syndrome irritatif pyramidal + trouble sensitifs discrets : fourmillements et pseudo algie sciatique.
Les signes d'examen d'une myélopathie
Ils sont majorés à la fatigue , minorés par le repos; 2 signes sont à rechercher : les signes de Lhermitte : décharges électriques le long de la colonne vertébrale provoquées par la flexion de la tête et d'Aboulker (astéréognosie pour les mouvements fins comme se boutonner la chemise par exemple avec impossibilité d'effectuer ces gestes fins).
Signes négatifs : aucun signe d'atteinte supra-médullaire++ ; confirmation diagnostique par radio conventionnelle et IRM++.
Diagnostic différentiel :
La SLA (sclérose latérale amyotrophique) de Charcot avec présence de signes supra-médullaires bulbaires et pseudo-bulbaires.
Par comparaison avec un rachis qui serait resté rectiligne, l'organisation en courbures de la colonne vertébrale décuple l'amortissement des contraintes.

En se redressant pour devenir bipède et pouvoir ainsi observer tout ennemi potentiel (ce que ne permettait pas la station à quatre pattes), cette posture nouvelle a sauvé Homo-Erectus des prédateurs, mais a aussi modifié sa statique en obligeant :

En dépit de sa solidité le rachis lombaire est constamment lésé chez les Lanceurs, les différents gestes techniques et l'entraînement physique lui faisant subir d'énormes contraintes en pression axiale ou en cisaillement en rotation et latéro-fléxion, qui débordent ses capacités physiologiques d'adaptation. En clinique cela va se traduire par des douleurs lombaires (lombalgies), de la raideur et des complications neurologiques (sciatique, cruralgie) en cas d'irritation des racines nerveuses par une hernie discale par exemple.

L’isthme inter-vertébral de L5 situé entre le massif des articulations vertébrales postérieures est très exposé chez les Lanceurs. A cause de l'implantation abracadabrantesque à 37° par rapport à l'horizontale du mât vertébral sur S1 (socle du sacrum), L5 aura tendance à glisser vers l'avant (spondylolisthésis toujours précédé par une spondylolise), malgré les efforts gigantesques pour l’empêcher de glisser consenti par le segment postérieur de L5 qui agrippe celui de la 1ère vertèbre du sacrum S1 à la manière d’un trapéziste et par les puissants ligaments ilio-lombaires.
Chez les jeunes Lanceurs cet isthme de L5 à cause des sollicitations répétées en hyperextention avec hyper contact des articulations postérieures entre elles, va finir par se fracturer(= spondylolyse = fracture de fatigue).

- verticalisation de la colonne vertébrale de T7 à L5 qui s’accompagnera progressivement de dysfonctions vertébrales étagées qui évolueront vers des discopathies et des hernies discales.
- horizontalisation de S1 avec cisaillement de l’isthme intervertébral de L5 et spondylolyse.
- Rosenberg sur 190 enfants et adultes non verticalisés = 0
- Wertzberger : - 3 % entre 2 et 4 ans.
- 5% à 7% de la population générale race blanche
- 1,95 % race noire
- Tower 30 à 60 % chez les Esquimaux.



4- Les puissants muscles antéverseurs du bassin (couturier, petit psoas, iliaque, droit antérieur, adducteurs) s'opposent aux muscles posturaux
5- les muscles ischio-jambiers (IJ)
En cas de résistance à ces traitements simples, le recours à des infiltrations scanno-guidées de dérivés cortisonés des facettes articulaires postérieures est parfois nécessaire. En cas d'échec de ces différents traitements, on peut être amené parfois à proposer une thermo-coagulation des facettes articulaires, dans des services d'imagerie médicale spécialisés, que l'on fera suivre par un programme de gainage en cyphose lombaire et de ré-entraînement à l'effort; au mieux dans une Ecole du dos (programme de restauration fonctionnelle du rachis).
Chez les lanceurs, le spondylolisthésis est en rapport avec une lyse isthmique (spondylolyse) et peut rester longtemps bien toléré. Découvert souvent par hasard grâce à un bilan radiographique du rachis lombaire (bilan radiographique qui devrait être systématique chez tous jeune lanceur), cette lyse correspond à une fracture de fatigue de l'isthme en rapport avec la répétition des contraintes en cisaillement. Conséquence de cette lyse isthmique avec listhésis, le disque entre les 2 vertèbres qui glissent, s’écrase et diminue de hauteur; on parlera alors de discopathie secondaire L5/S1 associée.
Trajet de la douleur Sciatique (schéma ci dessous)

La prévention
Les nombreuses blessures de surcharge (cervicalgies et lombalgies, périostites, pubalgies, tendinopathies, fractures de fatigue, dystrophies de croissance pour les plus jeunes) sont là pour nous rappeler que les limites physiologiques de résistance vertébrale et articulaire sont franchies au détriment des disques intervertébraux, des articulations vertébrales postérieures, de l'isthme de L5 et des cartilages des principales articulations.
Blessures que les staffs médicaux prennent en charge très efficacement quand il s’agit de primo-blessures, mais avec beaucoup plus de difficultés quand elles sont récurrentes. D’où l’impérieuse nécessité de les diagnostiquer dès les premiers signes, de les traiter avant qu’elles n’évoluent défavorablement et surtout de les prévenir.
La prévention est l’affaire de toute la filière Haut Niveau et commence pour chaque Athlète par une hygiène de vie irréprochable au niveau alimentation, hydratation et sommeil. Le recours à des compléments alimentaires n’est jamais une nécessité et le dopage doit être combattu de toutes les manières possibles : contrôles sanguins et urinaires réguliers et inopinés, passeport biologique, campagnes de prévention, etc. Pour tout Lanceur, nous avons vu le rôle essentiel de la posture dans la gestuelle technique et l’entraînement physique et l'intérêt d’être parfaitement gaîné qui ne se discute pas tellement c'est une évidence, si l’on veut tutoyer le très haut niveau. Nous insistons aussi sur les bienfaits d'un travail aérobie, d'un renforcement sur un mode excentrique des muscles rotateurs des ceintures et des 4 groupes musculaires les plus exposés aux claquages musculaires et ce, après étirements préalables et jamais à froid.
La compréhension de la biomécanique et des différentes forces intervenant pour assurer stabilité et équilibre de la colonne vertébrale et des articulations de l'épaule et du coude sont indispensables pour bien appréhender les différents mécanismes lésionnels, le diagnostic clinique, la prise en charge thérapeutique et la prévention des pathologies de ces trois zones anatomiques particulièrement exposées dans les Lancers.
Un bilan clinique et paraclinique complet et un suivi régulier par un médecin de terrain spécialistes des Lancers et des soins constants par des kinésithérapeutes du sport est fondamental dans toutes les pathologies présentées par les Lanceurs.
Le traitement des différentes pathologies du Lanceur est le plus souvent médical conservateur : pour la colonne vertébrale, sa finalité est l’indolence et la récupération d'une bonne mobilité; pour l'épaule et le coude, l'indolence, la restauration des amplitudes, une bonne mobilité de l’omoplate, le renforcement musculaire excentrique des rotateurs externes d'épaule et des muscles fléchisseurs et pronateurs du coude (muscles anti-anti-valgus) sont indispensables.
Lorsque la chirurgie est indiquée, il est essentiel d'avoir recours à des chirurgiens spécialisés dans la prise en charge des sportifs de haut niveau. En matière d'épaule et de coude, la correction chirurgicale s'il y a lieu de la primo-lésion est primordiale et le plus souvent il va s'agir d'une instabilité pathologique (la laxité est quasi physiologique chez un Lanceur). A noter que les suites après chirurgie ne sont pas toujours synonymes de reprise sportive au même niveau qu'avant l'intervention.
Des mesures préventives en parallèle à l'entraînement physique et technique et une surveillance médicale régulière par le même médecin de terrain restent les meilleurs moyens pour ne pas tomber dans la blessure récurrente de rachis, d'épaule et de coude.
Enfin ne jamais oublier de toujours rechercher des dysfonctions de la colonne vertébrale cervicale et lombaire, omniprésentes chez les Lanceurs. Les dysfonctions vertébrales cervicales font le lit des blessures de surcharge de l'épaule et du coude. Celles de la colonne lombaire sont très impliquées dans les blessures des membres inférieurs.





-en-or-a-toulouse-1456854924.jpg)
























Aucun commentaire:
Enregistrer un commentaire